
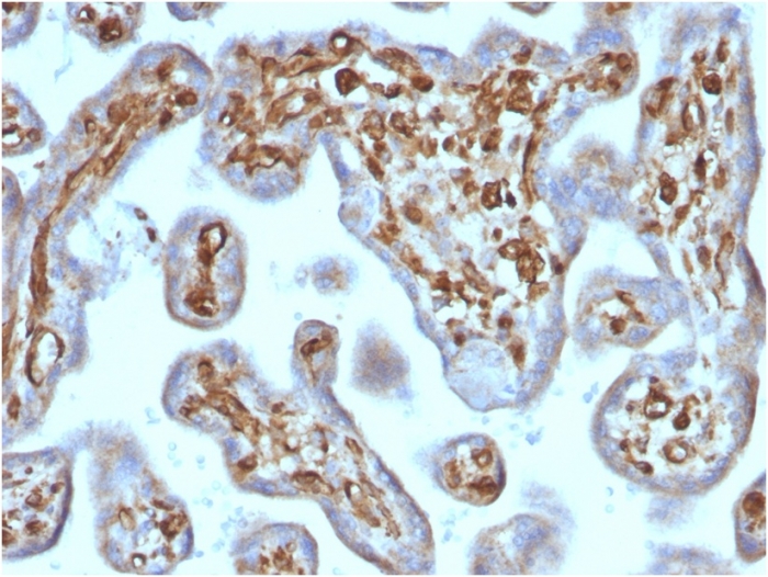
Formalin-fixed, paraffin-embedded human Placenta stained with Moesin Mouse Recombinant Monoclonal Antibody (rMSN/492).

Western Blot Analysis of human Jurkat cell lysate using Moesin Mouse Recombinant Monoclonal Antibody (rMSN/492).

Immunofluorescence Analysis of PFA-fixed HeLa cells labeling with Moesin Mouse Monoclonal Antibody (rMSN/492) followed by Goat anti-Mouse IgG-CF488 (Green). The nuclear counterstain is Reddot (Red)

SDS-PAGE Analysis of Purified Moesin Recombinant Mouse Monoclonal Antibody (rMSN/492). Confirmation of Purity and Integrity of Antibody.
Recognizes 78kDa moesin protein. Moesin, a member of the talin-4.1 superfamily, is a linking protein of the sub-membranous actin cytoskeleton. It is expressed in variable amounts in cells of different phenotypes such as macrophages, lymphocytes, fibroblastic, endothelial, epithelial, and neuronal cell lines but not in blood cells. The ERM proteins, ezrin, radixin, and moesin are involved in a variety of cellular functions, such as cell adhesion, migration, and the organization of cell surface structures, and are highly homologous, both in protein sequence and in functional activity, with merlin/schwannomin, a neurofibromatosis-2-associated tumor-suppressor protein. Cell lines of epithelial and mesothelial origin contain both moesin and radixin whereas cells of endothelial and lymphoid origin express moesin.
There are no reviews yet.