
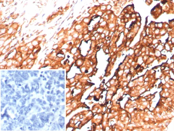
Formalin-fixed, paraffin-embedded human ovarian cancer stained with Mesothelin Recombinant Mouse Monoclonal (rMSLN/8764). Inset: PBS instead of primary antibody; secondary only negative control.
Mesothelin is a 40kDa glycosyl-phosphatidylinositol-anchored glycoprotein cleaved from a 69kDa precursor protein. Mesothelin immunoreactivity is high in cancers of the ovary (serous papillary, endometrioid and undifferentiated) and pancreas, with less frequent staining seen in adenocarcinomas of the endometrium, lung and stomach/esophagus. Mesothelin is one of the most sensitive markers for mesothelioma.
There are no reviews yet.