Recombinant Mammaglobin (SCGB2A2) (Breast Cancer Marker) Antibody [MGB/4812R]

In Stock
Catalog Number Formulation Size Price
4250-RBM12-P0
Purified Ab with BSA and Azide at 200ug/ml
20ug
$259.00
4250-RBM12-P1
Purified Ab with BSA and Azide at 200ug/ml
100ug
$559.00
4250-RBM12-P1ABX
Purified Ab WITHOUT BSA and Azide at 1.0mg/ml
100ug
$559.00
Flat Rate Domestic: $95 | Orders outside the US - Contact Us for Order Information | Ships next business day

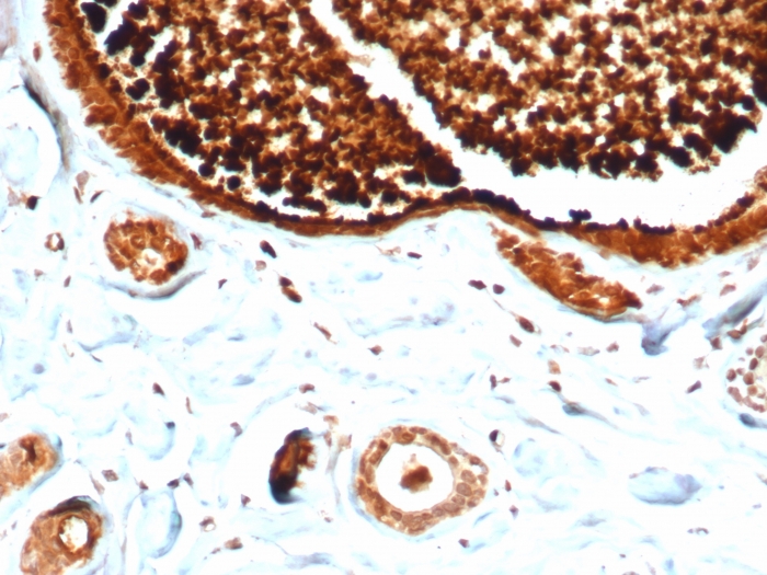
Applications & Dilutions

Applications Tested Dillution Protocol Note
Immunohistochemistry (IHC)
1-2ug/ml
30 min at RT. Staining of formalin-fixed tissues requires heating tissue sections in 10mM Tris with 1mM EDTA, pH 9.0, for 45 min at 95°C followed by cooling at RT for 20 minutes

Summary

Mammaglobin, 10 kDa, is a cytoplasmic protein, a mammary-specific member of the uteroglobin family. It is related to a family of epithelial secretory proteins that includes prostatein and Clara cell protein.Mammaglobin occurs in about 80% of breast carcinomas. The extend is generally larger than that of GCDFP-15. Up to 15% of nonbreast carcinomas (such as stomach, lung, colon, hepatobiliary, thyroid, ovarian, and urothelial carcinomas) have been reported positive, usually only focally. Mammaglobin is a sensitive and fairly specific marker for breast carcinoma. The panel should also include Gross cystic disease fluid protein-15 and Estrogen receptor alpha.

Product Properties & Targets

Host
Rabbit
Applications
Species Reactivity
Isotype / Light Chain
IgG / Kappa
Cellular Localization
Secreted
Gene Name
Positive Control
HeLa, MCF-7 or T47D cells. Human breast carcinoma.
Immunogen
Recombinant full-length human Mammaglobin (SCGB2A2) protein
Alternate Names
Mammaglobin-A, Mammaglobin-1, Secretoglobin family 2A member 2, Mammaglobin-1 (MGB1); Mammaglobin-A; Secretoglobin family 2A member 2 (SCGB2A2); SG2A2; UGB2

Database Links

Entrez Gene ID
SwissProt

Additional Information

Clone
MGB/4812R
Chromosome Location
11q12.3
Mol. Weight of Antigen
10.5kDa

Key References

  • Watson MA., et al.Cancer Res.1999;59:3028 3031.

Storage & Stability

Antibody with azide - store at 2 to 8 °C. Antibody without azide - store at -20 to -80 °C. Antibody is stable for 24 months. Non-hazardous. No MSDS required.

Limitations

This antibody is available for research use only and is not approved for use in diagnosis.

Supplied as

200ug/ml of Ab purified from Bioreactor Concentrate by Protein A/G. Prepared in 10mM PBS with 0.05% BSA & 0.05% azide. Also available WITHOUT BSA & azide at 1.0mg/ml.

Warranty

There are no warranties, expressed or implied, which extend beyond this description. Company is not liable for any personal injury or economic loss resulting from this product.

Reviews

There are no reviews yet.

Be the first to review “Recombinant Mammaglobin (SCGB2A2) (Breast Cancer Marker) Antibody”

Your email address will not be published. Required fields are marked *

PARTNERSHIP OPPORTUNITIES

NeoBiotechnologies holds Exclusive rights to 10,000 recombinant and hybridoma antibody products, available for Licensing or Collaboration.

LETS TALK