
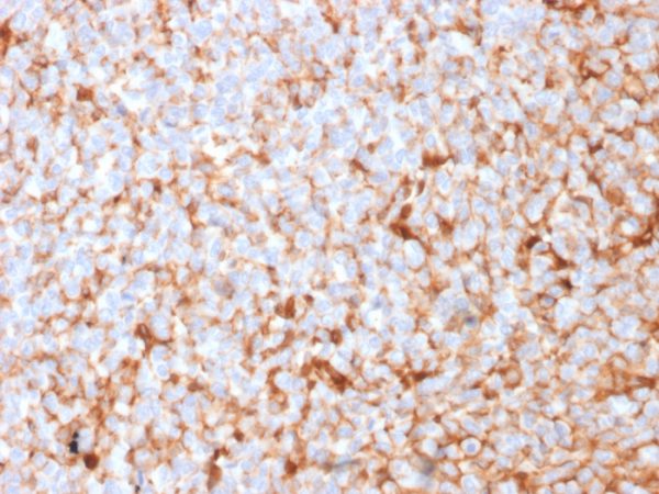
Formalin-fixed, paraffin-embedded human breast carcinoma stained with Mammaglobin Recombinant Rabbit Monoclonal Antibody (MGB/2682R).

Formalin-fixed, paraffin-embedded human breast carcinoma stained with Mammaglobin Recombinant Rabbit Monoclonal Antibody (MGB/2682R).

Immunofluorescence Analysis of MCF-7 cells using Mammaglobin Recombinant Rabbit Monoclonal Antibody (MGB/2682R) followed by goat anti-mouse IgG-CF488; counterstained with RedDot.

Western Blot Analysis of SK-BR-3, T-47D and Daudi cell lysates using MammaglobinRecombinant Rabbit Monoclonal Antibody (MGB/2682R).
Mammaglobin is a 93 amino acid glycoprotein with homology to other secretoglobin-uteroglobin family members. It was originally identified as a breast cancer restricted biomarker by differential screening. Mammaglobin related to secretoglobin family that includes human uteroglobin and lipophilin. Mammaglobin antibody stains cytoplasm of normal breast epithelial cells as well as primary and metastatic breast carcinomas. Mammaglobin expression is absent in prostate, kidney, colon, rectum, small intestine, stomach, pancreas, lung, and thyroid tissues.Mammaglobin may be used as part of an immunohistochemical panel for determination of metastatic breast carcinoma and tumor of unknown primary origin.
There are no reviews yet.