
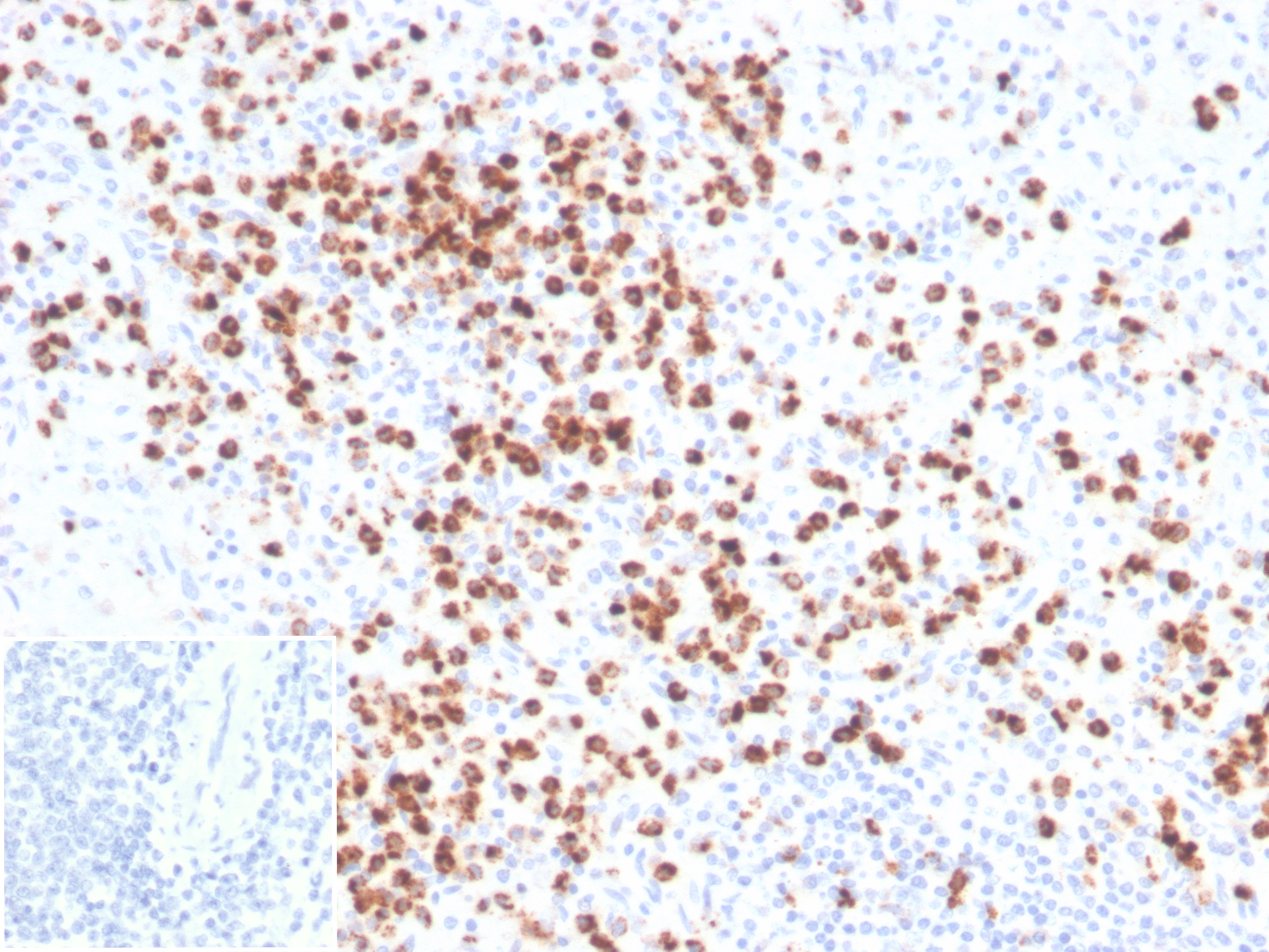
Formalin-fixed, paraffin-embedded human spleen stained with Lysozyme Mouse Monoclonal Antibody (LYZ/3941). Inset: PBS instead of primary antibody; secondary only negative control.

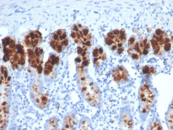
Formalin-fixed, paraffin-embedded horse colon stained with Lysozyme Mouse Monoclonal Antibody (LYZ/3941). Inset: PBS instead of primary antibody; secondary only negative control.

SDS-PAGE Analysis of Purified Lysozyme Mouse Monoclonal Antibody (LYZ/3941). Confirmation of Purity and Integrity of Antibody.

Analysis of Protein Array containing more than 19,000 full-length human proteins using Lysozyme Mouse Monoclonal Antibody (LYZ/3941). Z- and S- Score: The Z-score represents the strength of a signal that a monoclonal antibody (MAb) (in combination with a fluorescently-tagged anti-IgG secondary antibody) produces when binding to a particular protein on the HuProtTM array. Z-scores are described in units of standard deviations (SD's) above the mean value of all signals generated on that array. If targets on HuProtTM are arranged in descending order of the Z-score, the S-score is the difference (also in units of SD's) between the Z-score. S-score therefore represents the relative target specificity of a MAb to its intended target. A MAb is considered to specific to its intended target, if the MAb has an S-score of at least 2.5. For example, if a MAb binds to protein X with a Z-score of 43 and to protein Y with a Z-score of 14, then the S-score for the binding of that MAb to protein X is equal to 29.
Lysozyme is an enzyme, commonly referred to as the body s own antibiotic since it kills bacteria.Natural substrate of lysozyme is the bacterial cell wall peptidoglycan (cleaving the beta[1-4]glycosidic linkages between N-acetylmuramic acid and N-acetylglucosamine). Lysozyme is one of the antimicrobial agents found in human milk, and is also present in spleen, lung, kidney, white blood cells, plasma, saliva, and tears. The protein has antibacterial activity against a number of bacterial species.Lysozyme is synthesized predominantly in reactive histiocytes rather than in resting, unstimulated phagocytes. This antibody labels myeloid cells, histiocytes, granulocytes, macrophages and monocytes. It is helpful in the identification of myeloid or monocytic nature of acute leukemia.
There are no reviews yet.