
Immunofluorescence staining of K562 cells using LMO2 Recombinant Rabbit Monoclonal Antibody (LMO2/3147R) followed by goat anti-rabbit IgG-CF488 (green). Membrane stained with Phalloidin (Red).

Flow Cytometric Analysis of K562 cells using LMO2 Recombinant Rabbit Monoclonal Antibody (LMO2/3147R); followed by goat anti-rabbit IgG-CF488 (Blue); Isotype Control (Red).

SDS-PAGE Analysis Purified LMO2 Recombinant Rabbit Monoclonal Antibody (LMO2/3147R). Confirmation of Purity and Integrity of Antibody.

Western Blot Analysis of Human Brain tissue lysate using LMO2 Recombinant Rabbit Monoclonal Antibody (LMO2/3147R).

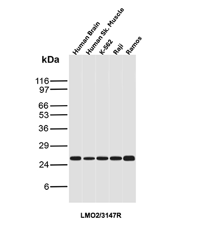
Western Blot Analysis of Human Brain, Human Skeletal Muscle, K-562, Raji and Ramos lysates using LMO2 Recombinant Rabbit Monoclonal Antibody (LMO2/3147R).

Western Blot Analysis of Human Brain, Mouse Brain, Rat Brain, Hamster Brain, Guinea pig Brain, Rabbit Brain, Human Skeletal Muscle, Mouse Skeletal Muscle, Rat Skeletal Muscle, Hamster Skeletal Muscle, Guinea Pig Skeletal Muscle and Rabbit Skeletal Muscle tissue lysates using LMO2 Recombinant Rabbit Monoclonal Antibody (LMO2/3147R).
The LMO2 protein has a central and crucial role in hematopoietic development and is highly conserved. It has a particular function in normal and lymphatic endothelial cells involving the regulation of angiogenesis and lymph-angiogenesis. Immunohistochemical studies have also demonstrated expression of LMO2 in both normal germinal center B-cells and germinal center-derived B-cell lymphomas, including follicular lymphoma and diffuse large B-cell lymphoma.The use of anti-LMO2 is valuable as a tool in the identification of lymphomas of B-cell origin. LMO2 is useful in differentiating follicular lymphoma (LMO2+) from nodal marginal zone lymphoma (LM02-). It also is positive in Hodgkin s and Burkitt s lymphomas.
There are no reviews yet.