
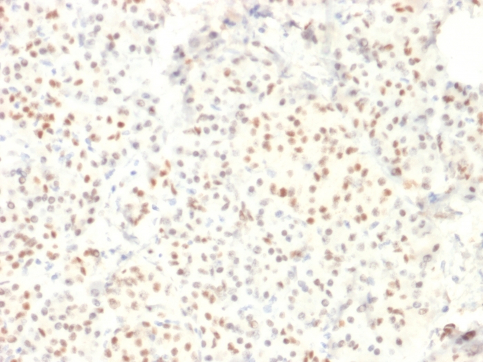
Formalin-fixed, paraffin-embedded human Follicular Lymphoma stained with LMO2 Mouse Monoclonal Antibody (LMO2/1971).

Formalin-fixed, paraffin-embedded human Pancreas stained with LMO2 Mouse Monoclonal Antibody (LMO2/1971).

SDS-PAGE Analysis Purified LMO2 Mouse Monoclonal Antibody (LMO2/1971). Confirmation of Purity and Integrity of Antibody.
The LMO2 protein has a central and crucial role in hematopoietic development and is highly conserved. It has a particular function in normal and lymphatic endothelial cells involving the regulation of angiogenesis and lymph-angiogenesis. Immunohistochemical studies have also demonstrated expression of LMO2 in both normal germinal center B-cells and germinal center-derived B-cell lymphomas, including follicular lymphoma and diffuse large B-cell lymphoma.The use of anti-LMO2 is valuable as a tool in the identification of lymphomas of B-cell origin. LMO2 is useful in differentiating follicular lymphoma (LMO2+) from nodal marginal zone lymphoma (LM02-). It also is positive in Hodgkin s and Burkitt s lymphomas.
There are no reviews yet.