LMO2 (B-Cell Marker) Antibody [LMO2/1972]

In Stock
Catalog Number Formulation Size Price
4005-MSM2-P0
Purified Ab with BSA and Azide at 200ug/ml
20ug
$259.00
4005-MSM2-P1
Purified Ab with BSA and Azide at 200ug/ml
100ug
$559.00
4005-MSM2-P1ABX
Purified Ab WITHOUT BSA and Azide at 1.0mg/ml
100ug
$559.00
Flat Rate Domestic: $95 | Orders outside the US - Contact Us for Order Information | Ships next business day

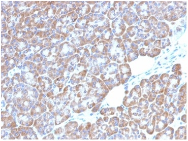
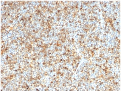
Applications & Dilutions

Applications Tested Dillution Protocol Note
Immunohistochemistry (IHC)
1-2ug/ml
30 min at RT. Staining of formalin-fixed tissues requires heating tissue sections in 10mM Tris with 1mM EDTA, pH 9.0, for 45 min at 95°C followed by cooling at RT for 20 minutes

Summary

The LMO2 protein has a central and crucial role in hematopoietic development and is highly conserved. It has a particular function in normal and lymphatic endothelial cells involving the regulation of angiogenesis and lymph-angiogenesis. Immunohistochemical studies have also demonstrated expression of LMO2 in both normal germinal center B-cells and germinal center-derived B-cell lymphomas, including follicular lymphoma and diffuse large B-cell lymphoma.The use of anti-LMO2 is valuable as a tool in the identification of lymphomas of B-cell origin.LMO2 is useful in differentiating follicular lymphoma (LMO2+) from nodal marginal zone lymphoma (LM02-). It also is positive in Hodgkin s and Burkitt s lymphomas.

Product Properties & Targets

Antibody Type
Host
Mouse
Applications
Species Reactivity
Isotype / Light Chain
IgG2b / Kappa
Cellular Localization
Nucleus
Gene Name
Positive Control
K562, pancreas or Hodgkin s lymphoma, Ramos or Raji cells.Placenta
Immunogen
Recombinant human LMO2 protein fragment (around aa 23-140) (exact sequence is proprietary)
Alternate Names
Rhombotin-2, Cysteine-rich protein TTG-2, LIM domain only protein 2, T-cell translocation protein 2, Cysteine-rich protein TTG-2; LIM domain only protein 2; LMO-2; RBTN L1; RBTN2;Rhombotinlike 1; Rhombotin-2 (RHOM2); T-cell translocation protein 2; TTG2

Database Links

Entrez Gene ID
SwissProt

Additional Information

Clone
LMO2/1972
Chromosome Location
11p13
Mol. Weight of Antigen
24kDa

Functions

  • Acts with TAL1/SCL to regulate red blood cell development. Also acts with LDB1 to maintain erythroid precursors in an immature state.

Key References

  • Younes, SF et al. Am J Clin Pathol. 2011 May;135(5):697-708.

Storage & Stability

Antibody with azide - store at 2 to 8 °C. Antibody without azide - store at -20 to -80 °C. Antibody is stable for 24 months. Non-hazardous. No MSDS required.

Limitations

This antibody is available for research use only and is not approved for use in diagnosis.

Supplied as

200ug/ml of Ab purified from Bioreactor Concentrate by Protein A/G. Prepared in 10mM PBS with0.05% BSA & 0.05% azide. Also available WITHOUT BSA & azide at 1.0mg/ml.

Warranty

There are no warranties, expressed or implied, which extend beyond this description. Company is not liable for any personal injury or economic loss resulting from this product.

Reviews

There are no reviews yet.

Be the first to review “LMO2 (B-Cell Marker) Antibody”

Your email address will not be published. Required fields are marked *

PARTNERSHIP OPPORTUNITIES

NeoBiotechnologies holds Exclusive rights to 10,000 recombinant and hybridoma antibody products, available for Licensing or Collaboration.

LETS TALK