
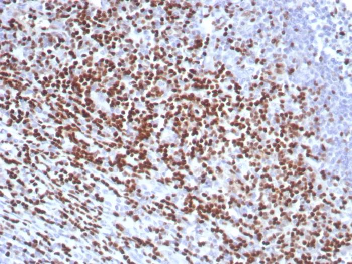
Formalin-fixed, paraffin-embedded human tonsil stained with LEF1 Recombinant Mouse Monoclonal Antibody (rLEF1/8854). Inset: PBS instead of primary. Secondary antibody negative control.
Lymphoid Enhancing Factor 1 (LEF1) is a transcription factor that belongs to the TCF/LEF family. LEF1 participates as a regulator in Wnt signaling pathways. LEF1 is an important factor in lymphopoiesis and is expressed normally in T and pro-B cells but not expressed in mature B cells. Anti-LEF1 may be used as an aid for differentiation of chronic lymphocytic leukemia/small lymphocytic lymphoma from other small B cell lymphomas.
There are no reviews yet.