
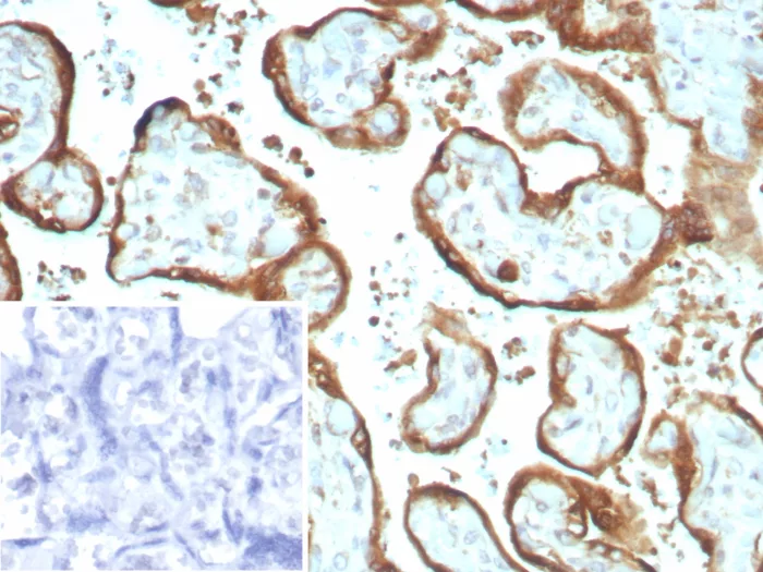
Formalin-fixed, paraffin-embedded human placenta stained with IMP-3 Recombinant Rabbit Monoclonal Antibody (IMP3/8934R) Inset: PBS instead of primary antibody; secondary only negative control.
Imp3, also known as BRMS2, C15orf12 or MRPS4, is a 184 amino acid protein that contains one S4 RNA-binding domain and is the mammalian homolog of the yeast Imp3 protein. Localized to the nucleus, Imp3 exists as a component of a heterotrimeric complex consisting of MPP10, Imp3 and Imp4 and, in this complex, plays a key role in early cleavage events during pre-18S ribosomal processing. The gene encoding Imp3 maps to human chromosome 15, which houses over 700 genes and comprises nearly 3% of the human genome. Angelman syndrome, Prader-Willi syndrome, Tay-Sachs disease and Marfan syndrome are all associated with defects in chromosome 15-localized genes.
There are no reviews yet.