
Formalin-fixed, paraffin-embedded human Breast Carcinoma stained with ER-beta1 Mouse Monoclonal Antibody (ERb455).

Formalin-fixed, paraffin-embedded human Ovarian Carcinoma stained with ER-beta1 Mouse Monoclonal Antibody (ERb455).

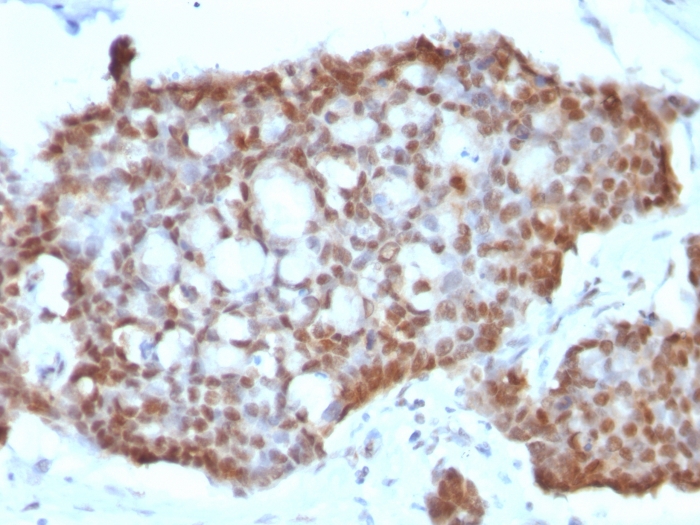
Formalin-fixed, paraffin-embedded human Gastric Carcinoma stained with ER-beta1 Mouse Monoclonal Antibody (ERb455).

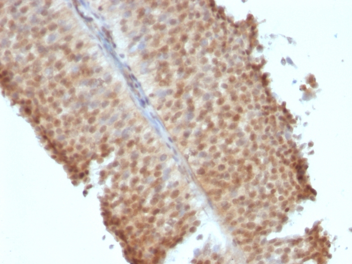
Formalin-fixed, paraffin-embedded human Bladder Carcinoma stained with ER-beta1 Mouse Monoclonal Antibody (ERb455).

Flow Cytometry of human ER beta on BT474 cells. Black: cells alone; Grey: Isotype Control; Green: CF488-labeled ER beta1 Mouse Monoclonal Antibody (ERb455).

Flow Cytometry for human ER-beta on MCF-7 cells. Black: cells alone; Green: Isotype Control; Red: PE-labeled ER-beta1 Monoclonal Antibody (ERb455).
Estrogen receptors (ER) are members of the steroid/thyroid hormone receptor superfamily of ligand-activated transcription factors. Estrogen receptors, including ER-alpha and ER-beta, contain DNA binding and ligand binding domains and are critically involved in regulating the normal function of reproductive tissues. They are located in the nucleus, though some estrogen receptors associate with the cell surface membrane and can be rapidly activated by exposure of cells to estrogen. ER-alpha and ER-beta are differentially activated by various ligands. Receptor-ligand interactions trigger a cascade of events, including dissociation from heat shock proteins, receptor dimerization, phosphorylation and the association of the hormone activated receptor with specific regulatory elements in target genes. Evidence suggests that ER-alpha and ER-beta may be regulated by distinct mechanisms even though they share many functional characteristics.
There are no reviews yet.