
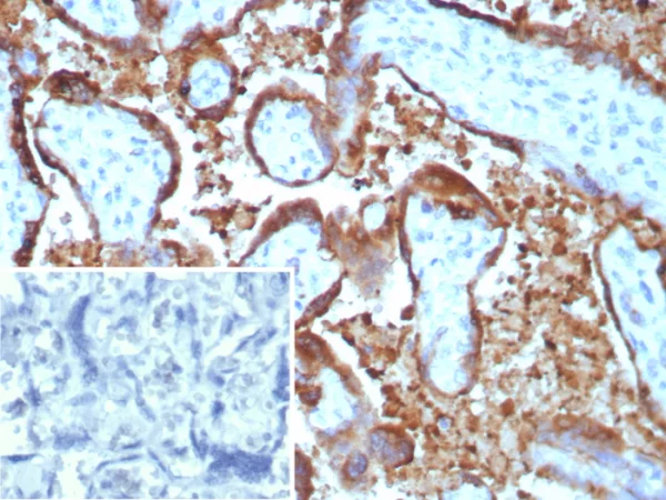
Formalin-fixed, paraffin-embedded human placenta stained with Epstein-Barr virus induced 3 Mouse Monoclonal Antibody (EBI3/8903). Inset: PBS instead of primary antibody; secondary only negative control.

SDS-PAGE Analysis of Purified EBV-induced 3 Mouse Monoclonal Antibody (EBI3/8903). Confirmation of Purity and Integrity of Antibody.
Epstein-Barr virus-induced gene 3 (Ebi3) is a widely expressed homolog to the interleukin IL-12 p40 subunit protein that forms a heterodimer with either IL-12 p35 or an IL-12 p35 homolog, p28, to create a new cytokine (IL-27). IL-27 is an early product of activated antigen-presenting cells and drives rapid clonal expansion of naive but not memory CD4+ T cells. Interferon-b differentially regulates expression of the IL-12 family members p35, p40, p19 and Ebi3 in activated human dendritic cells. Ebi3 may function to antagonize IL-12 and to inhibit the development of a Th1 immune response. Ebi3 is strongly expressed in Hodgkin and Reed-Sternberg cells, independently of the EBV status of the tumor cells. Research suggests that Ebi3 may be an additional component of the repertoire employed by Hodgkin and Reed-Sternberg cells to inhibit an effective anti-tumor or anti-viral immune response. The human Ebi3 gene maps to chromosome 19p13.3 and encodes a secreted glycoprotein that is expressed in spleen and tonsils, and at high levels in full-term placenta.
There are no reviews yet.