Recombinant Desmoglein-1 (DSG1) Antibody [DSG1/8576R]

In Stock
Catalog Number Formulation Size Price
1828-RBM8-P0
Purified Ab with BSA and Azide at 200ug/ml
20ug
$259.00
1828-RBM8-P1
Purified Ab with BSA and Azide at 200ug/ml
100ug
$559.00
1828-RBM8-P1ABX
Purified Ab WITHOUT BSA and Azide at 1.0mg/ml
100ug
$559.00
Flat Rate Domestic: $95 | Orders outside the US - Contact Us for Order Information | Ships next business day

Applications & Dilutions

Applications Tested Dillution Protocol Note
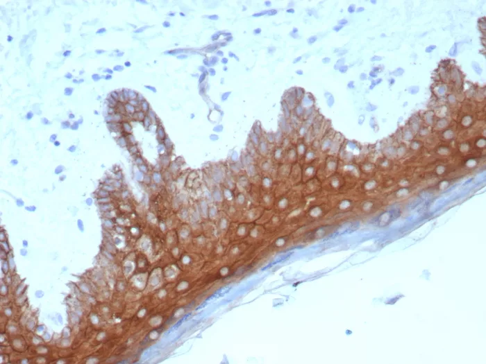
Immunohistochemistry (IHC)
1-2ug/ml
30 min at RT. Staining of formalin-fixed tissues requires heating tissue sections in 10mM Tris with 1mM EDTA, pH 9.0, for 45 min at 95°C followed by cooling at RT for 20 minutes

Summary

Recognizes a protein of ~150kDa, identified as Desmoglein-1 (DSG1). Desmoglein-1 is a member of the desmosomal cadherin family. �Desmosomes are intercellular adhering junctions that represent cell surface attachment sites for intermediate filament. Desmocollins and desmogleins are the main desmosomal transmembrane proteins. Desmogleins consist of Dsg1, Dsg2, Dsg3, and Dsg4 isoforms. �Within the desmosome, the extracellular domain of desmoglein is essential for calcium dependent heterophilic binding to the desmocollins, whereas the intracellular domain is essential for binding to the desmosomal plaque protein, plakoglobin. Desmoglein 1 is synthesized exclusively in the suprabasal layers. Intact and functionally active desmoglein 1 is essential to epidermal integrity.

Product Properties & Targets

Host
Rabbit
Applications
Species Reactivity
Isotype / Light Chain
IgG / Kappa
Cellular Localization
Cell surface
Gene Name
Positive Control
Bladder|skin or melanoma.
Immunogen
Recombinant human DSG1 protein
Alternate Names
Desmoglein-1, Cadherin family member 4, Desmosomal glycoprotein 1, Pemphigus foliaceus antigen, Cadherin family member 4; CDHF4; Desmoglein-1; Desmosomal glycoprotein 1; DG1; DSG1; EPKHE; EPKHIA; Pemphigus foliaceus antigen; PPKS1; SPPK1

Database Links

Entrez Gene ID
SwissProt

Additional Information

Clone
DSG1/8576R
Chromosome Location
18q12.1
Mol. Weight of Antigen
150kDa (precursor); 160kDa (mature)

Functions

  • Component of intercellular desmosome junctions. Involved in the interaction of plaque proteins and intermediate filaments mediating cell-cell adhesion.

Key References

  • Wu, H., et al. J Invest Dermatol 2003, 120: 1052-1057.

Storage & Stability

Antibody with azide - store at 2 to 8°C. Antibody without azide - store at -20 to -80°C. Antibody is stable for 24 months. Non-hazardous. No MSDS required.

Limitations

This antibody is available for research use only and is not approved for use in diagnosis.

Supplied as

200ug/ml of Ab purified from Bioreactor Concentrate by Protein A/G. Prepared in 10mM PBS with 0.05% BSA & 0.05% azide. Also available WITHOUT BSA & azide at 1.0mg/ml.

Warranty

There are no warranties, expressed or implied, which extend beyond this description. Company is not liable for any personal injury or economic loss resulting from this product.

Reviews

There are no reviews yet.

Be the first to review “Recombinant Desmoglein-1 (DSG1) Antibody”

Your email address will not be published. Required fields are marked *

PARTNERSHIP OPPORTUNITIES

NeoBiotechnologies holds Exclusive rights to 10,000 recombinant and hybridoma antibody products, available for Licensing or Collaboration.

LETS TALK