
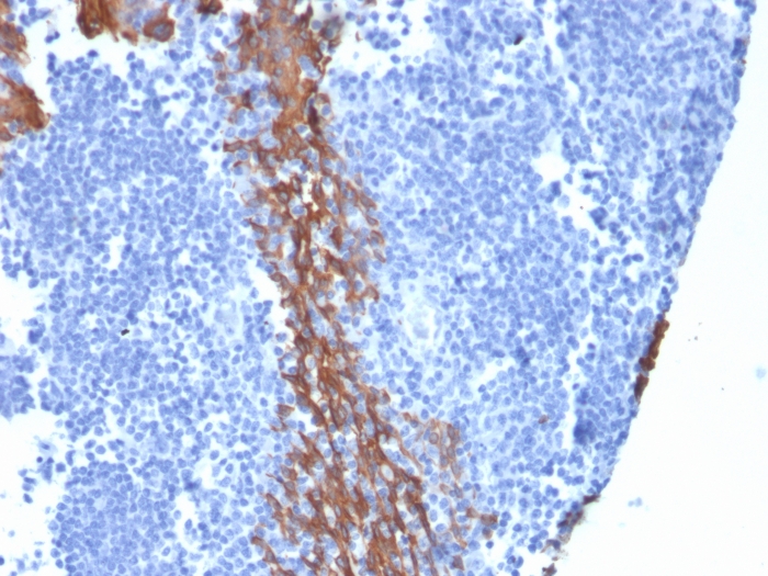
Formalin-fixed, paraffin-embedded human Tonsil stained with Cytokeratin 13 Mouse Monoclonal Antibody (KRT13/2659).

Formalin-fixed, paraffin-embedded human Prostate Carcinoma stained with Cytokeratin 13 Mouse Monoclonal Antibody (KRT13/2659).
Cytokeratin 13 (KRT13) is the major acidic keratin, which together with KRT4, its basic partner, is expressed in the suprabasal layers of non-cornified stratified epithelia including tongue mucosa, esophagus, anal canal epithelium, tracheal epithelium, uterine cervix, and urothelium. Defects in the KRT13 gene are a cause of white sponge nevus of cannon (WSN), a rare autosomal dominant disorder, which predominantly affects non-cornified stratified squamous epithelia and is characterized by the presence of soft, white and spongy plaques in the oral mucosa. KRT13 has been used as a marker for non-keratinized squamous epithelium. It is also expressed in various squamous metaplasia, but it is down regulated in squamous dysplasia and squamous carcinoma.
There are no reviews yet.