Recombinant Cytokeratin 13 (Non-Keratinized Squamous Epithelial Marker) Antibody [KRT13/8577R]

In Stock
Catalog Number Formulation Size Price
3860-RBM6-P0
Purified Ab with BSA and Azide at 200ug/ml
20ug
$259.00
3860-RBM6-P1
Purified Ab with BSA and Azide at 200ug/ml
100ug
$559.00
3860-RBM6-P1ABX
Purified Ab WITHOUT BSA and Azide at 1.0mg/ml
100ug
$559.00
Flat Rate Domestic: $95 | Orders outside the US - Contact Us for Order Information | Ships next business day

Applications & Dilutions

Applications Tested Dillution Protocol Note
Immunohistochemistry (IHC)
1-2ug/ml
30 min at RT. Staining of formalin-fixed tissues requires heating tissue sections in 10mM Tris with 1mM EDTA, pH 9.0, for 45 min at 95°C followed by cooling at RT for 20 minutes

Summary

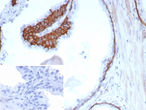
Cytokeratins comprise a diverse group of intermediate filament proteins (IFPs) that are expressed as pairs in both keratinized and non-keratinized epithelial tissue. Cytokeratins play a critical role in differentiation and tissue specialization and function to maintain the overall structural integrity of epithelial cells. Cytokeratins have been found to be useful markers of tissue differentiation, which is directly applicable to the characterization of malignant tumors. Cytokeratins 10 and 13 are present in the cytoskeletal region of a subset of squamous cell carcinomas. Cytokeratin 13 belongs to the intermediate filament family and is a heterotetramer of two type I acidic and two type II basic keratins. It is generally associated with Cytokeratin 4. Defects in the KRT13 gene are a cause of white sponge nevus of cannon (WSN), a rare autosomal dominant disorder which predominantly affects noncornified stratified squamous epithelia and is characterized by the presence of soft, white and spongy plaques in the oral mucosa.

Product Properties & Targets

Host
Rabbit
Applications
Species Reactivity
Research Areas
Isotype / Light Chain
IgG / Kappa
Gene Name
Positive Control
HeLa or A431 cells. Skin or Squamous cell carcinoma
Immunogen
esophageal keratins of rabbit origin
Alternate Names
Keratin, type I cytoskeletal 13, Cytokeratin-13, Keratin-13, CK13; Cytokeratin-13; Keratin Type I Cytoskeletal 13; Keratin-13; KRT13; Type I Cytoskeletal 13; WSN2

Database Links

Entrez Gene ID
SwissProt

Additional Information

Clone
KRT13/8577R
Chromosome Location
17q21.2
Mol. Weight of Antigen
52kDa

Key References

  • Richard, G., et al. 1995. Keratin 13 point mutation underlies the hereditary mucosal epithelial disorder white sponge nevus. Nat. Genet. 11: 453-455.

Storage & Stability

Antibody with azide - store at 2 to 8 °C. Antibody without azide - store at -20 to -80 °C. Antibody is stable for 24 months. Non-hazardous. No MSDS required.

Limitations

This antibody is available for research use only and is not approved for use in diagnosis.

Supplied as

200ug/ml of Ab produced in CHO cell mammalian-based expression system. Prepared in 10mM PBS with 0.05% BSA & 0.05% azide. Also available WITHOUT BSA & azide at 1.0mg/ml.

Warranty

There are no warranties, expressed or implied, which extend beyond this description. Company is not liable for any personal injury or economic loss resulting from this product.

Reviews

There are no reviews yet.

Be the first to review “Recombinant Cytokeratin 13 (Non-Keratinized Squamous Epithelial Marker) Antibody”

Your email address will not be published. Required fields are marked *

PARTNERSHIP OPPORTUNITIES

NeoBiotechnologies holds Exclusive rights to 10,000 recombinant and hybridoma antibody products, available for Licensing or Collaboration.

LETS TALK