
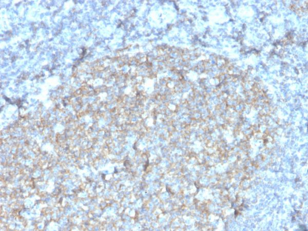
Formalin-fixed, paraffin-embedded human tonsil stained with CD81 Recombinant Mouse Monoclonal Antibody (rC81/3442).

Formalin-fixed, paraffin-embedded human tonsil stained with CD81 Recombinant Mouse Monoclonal Antibody (rC81/3442).

Flow cytometry analysis of MCF-7 cells unstained (gray) or stained with CD81 mouse monoclonal antibody (rC81/3442) and goat anti-mouse CF647 (red).

Flow cytometry analysis of bead-bound exosomes derived from MCF-7 cells. Unstained exosomes (gray) or exosomes stained with CF568-labeled CD81 monoclonal antibody (rC81/3442) (orange).

SDS-PAGE Analysis of Purified CD81 Recombinant Mouse Monoclonal Antibody (rC81/3442 ). Confirmation of Purity and Integrity of Antibody.
Recognizes a protein of 26kDa, identified as CD81 (Workshop VI; Code CD81.1)). CD81 has a very broad cellular distribution, being expressed on T- and B-lymphocytes, NK cells, thymocytes, eosinophils, fibroblasts, epithelial and endothelial cells. Neutrophils, erythrocytes and platelets are negative, while monocytes are variably positive. CD81 is a member of a family of tetraspans transmembrane proteins, including CD9, CD37, CD53, CD63, and CD82. It associates with CD19, CD21, Leu 13, and integrins on cell membrane and is involved in signal transduction in B lymphocyte development and cell adhesion. CD81 also acts as a receptor for the envelope protein E2 of chronic hepatitis C virus. Antibodies to CD81 have anti-proliferative effects on different lymphoid cell lines, particularly those derived from large cell lymphomas.
There are no reviews yet.