
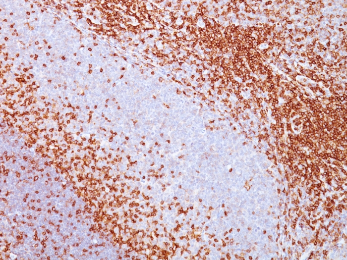
Formalin-fixed, paraffin-embedded human spleen stained with CD43 Mouse Monoclonal Antibody (SPN/839).

Immunofluorescence Analysis of K562 cells labeling CD43 with CD43 Monoclonal Antibody (SPN/839) followed by Goat anti-Mouse IgG-CF488 (Green). The nuclear counterstain is NucSpot® Live 650.
It recognizes a cell surface glycoprotein of 95/115/135kDa (depending upon the extent of glycosylation), identified as CD43. 70-90% of T-cell lymphomas and from 22-37% of B-cell lymphomas express CD43. No reactivity has been observed with reactive B-cells. So a B-lineage population that co-expresses CD43 is highly likely to be a malignant lymphoma, especially a low-grade lymphoma, rather than a reactive B-cell population. When CD43 antibody is used in combination with anti-CD20, effective immunophenotyping of the lymphomas in formalin-fixed tissues can be obtained. Co-staining of a lymphoid infiltrate with anti-CD20 and anti-CD43 argues against a reactive process and favors a diagnosis of lymphoma.
There are no reviews yet.