
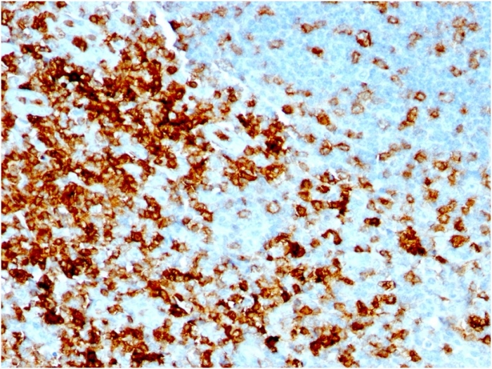
Formalin-fixed, paraffin-embedded human Lymphoma stained with CD43 Mouse Recombinant Monoclonal Antibody (rSPN/1094).

Formalin-fixed, paraffin-embedded human Tonsil stained with CD43 Mouse Recombinant Monoclonal Antibody (rSPN/1094).

SDS-PAGE Analysis Purified CD43 Mouse Recombinant Monoclonal Antibody (rSPN/1094). Confirmation of Purity and Integrity of Antibody.

Western Blot Analysis of K562 cell lysate using CD43 Mouse Recombinant Monoclonal Antibody (rSPN/1094).

Immunofluorescent staining of K562 cells. CD43 Mouse Recombinant Monoclonal Antibody (rSPN/1094). The nuclear counterstain is Reddot (Red)
It recognizes a cell surface glycoprotein of 95/115/135kDa (depending upon the extent of glycosylation), identified as CD43. 70-90% of T-cell lymphomas and from 22-37% of B-cell lymphomas express CD43. No reactivity has been observed with reactive B-cells. So a B-lineage population that co-expresses CD43 is highly likely to be a malignant lymphoma, especially a low-grade lymphoma, rather than a reactive B-cell population. When CD43 antibody is used in combination with anti-CD20, effective immunophenotyping of the lymphomas in formalin-fixed tissues can be obtained. Co-staining of a lymphoid infiltrate with anti-CD20 and anti-CD43 argues against a reactive process and favors a diagnosis of lymphoma.
There are no reviews yet.