
Formalin-fixed, paraffin-embedded human lymph node stained with CD4 Recombinant Mouse Monoclonal Antibody (rCD4/3930). HIER: Tris/EDTA, pH9.0, 45min. 2 °: HRP-polymer, 30min. DAB, 5min.

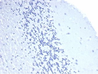
IHC analysis of formalin-fixed, paraffin-embedded human brain. Negative tissue control using rCD4/3930 at 2ug/ml in PBS for 30min RT. HIER: Tris/EDTA, pH9.0, 45min. 2 °: HRP-polymer, 30min. DAB, 5min.

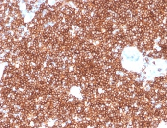
Formalin-fixed, paraffin-embedded human tonsil stained with CD4 Recombinant Mouse Monoclonal Antibody (rCD4/3930).

SDS-PAGE Analysis Purified CD4 Recombinant Mouse Monoclonal Antibody (rCD4/3930). Confirmation of Integrity and Purity of Antibody.
Recognizes a protein of 55kDa, identified as CD4. It is a membrane glycoprotein of T lymphocytes that interacts with major histocompatibility complex class II antigens and is also a receptor for the human immunodeficiency virus. This protein is expressed not only in T lymphocytes, but also in B cells, macrophages, and granulocytes. It is also expressed in specific regions of the brain. The protein functions to initiate or augment the early phase of T-cell activation, and may function as an important mediator of indirect neuronal damage in infectious and immune-mediated diseases of the central nervous system. The majority of peripheral T-cell lymphomas are derived from the T-helper/regulatory cell subset so that most mature T-cell neoplasms are CD4+/CD8-. Anti-CD4 is used in the immunohistochemical staining of lymphoproliferative disorders to evaluate tumors with CD4 aberrant expression.
There are no reviews yet.