
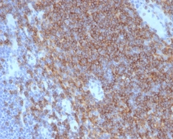
Formalin-fixed, paraffin-embedded human tonsil stained with CD4 Mouse Monoclonal Antibody (CD4/7142). Inset: PBS instead of primary antibody; secondary only negative control.
Recognizes a protein of 55kDa, identified as CD4. It is a membrane glycoprotein of T lymphocytes that interacts with major histocompatibility complex class II antigens and is also a receptor for the human immunodeficiency virus. This protein is expressed not only in T lymphocytes, but also in B cells, macrophages, and granulocytes. It is also expressed in specific regions of the brain. The protein functions to initiate or augment the early phase of T-cell activation, and may function as an important mediator of indirect neuronal damage in infectious and immune-mediated diseases of the central nervous system. Multiple alternatively spliced transcript variants encoding different isoforms have been identified.
There are no reviews yet.