
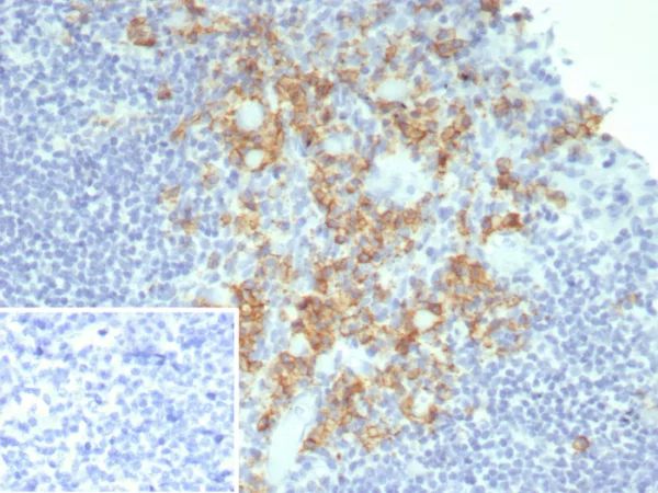
Formalin-fixed, paraffin-embedded human tonsil stained with CD38 Recombinant Mouse Monoclonal Antibody (rCD38/8045). Inset: PBS instead of primary antibody; secondary only negative control.

SDS-PAGE Analysis of Purified CD38 Recombinant Mouse Monoclonal Antibody (rCD38/8045). Confirmation of Purity and Integrity of Antibody.
CD38 is a type II transmembrane glycoprotein that is present on early B- and T-cell lineages and activated B- and T-cells but is absent from most mature resting peripheral lymphocytes. CD38 is found on thymocytes, pre-B cells, germinal center B-cells, mitogen-activated T-cells, monocytes and Ig-secreting plasma cells. CD38 is expressed on CD34+ cells.The CD34+CD38- population of hematopoietic stems cells define the most pluripotent cells (e.g.blast colony forming cells).
There are no reviews yet.