
Formalin-fixed, paraffin-embedded human colon carcinoma stained with CD31 Mouse Monoclonal Antibody (JC/70A). HIER: Tris/EDTA, pH9.0, 45min. 2°: HRP-polymer, 30min. DAB, 5min.

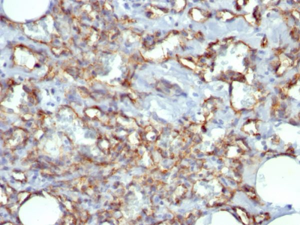
Formalin-fixed, paraffin-embedded human Angiosarcoma stained with CD31 Mouse Monoclonal Antibody (JC/70A). HIER: Tris/EDTA, pH9.0, 45min. 2°: HRP-polymer, 30min. DAB, 5min.

Flow Cytometry of human CD31 on Jurkat cells. Black: cells alone; Grey: Isotype Control; Green: AF488-labeled CD31 Mouse Monoclonal Antibody (JC/70A).

Western Blot Analysis of human THP-1 cell lysate using CD31 Mouse Monoclonal Antibody (JC/70A)

SDS-PAGE Analysis of Purified CD31 Mouse Monoclonal Antibody (JC/70A). Confirmation of Purity and Integrity of Antibody
CD31 (PECAM-1) is a transmembrane glycoprotein member of the immunoglobulin supergene family of adhesion molecules. CD31 is expressed by stem cells of the hematopoietic system and is primarily used to identify and concentrate these cells for experimental studies as well as for bone marrow transplantation. Anti-CD31 has shown to be highly specific and sensitive for vascular endothelial cells. Staining of nonvascular tumors (excluding hematopoietic neoplasms) is rare. CD31 MAb reacts with normal, benign, and malignant endothelial cells which make up blood vessel lining. The level of CD31 expression can help to determine the degree of tumor angiogenesis, and a high level of CD31 expression may imply a rapidly growing tumor and potentially a predictor of tumor recurrence.
There are no reviews yet.