
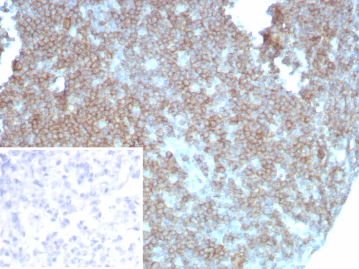
Formalin-fixed, paraffin-embedded human lymph node stained with CD27 Rabbit Recombinant Monoclonal Antibody (LPFS2/8838R). Inset: PBS instead of primary antibody; secondary only negative control.
Recognizes a protein of a disulfide-linked 120kDa dimer, identified as CD27. It is expressed on the majority of peripheral T cells, medullary thymocytes, memory-type B cells, and natural killer cells. It is a transmembrane phosphoglycoprotein that belongs to the tumor necrosis factor receptor (TNFR) superfamily. CD27 binds to its ligand CD70, a member of the TNF family, and induces T-cell co-stimulation and B-cell activation. It also interacts with TRAFs and is involved in activation of NFkB and SAPK/JNK and induces apoptosis.
There are no reviews yet.