
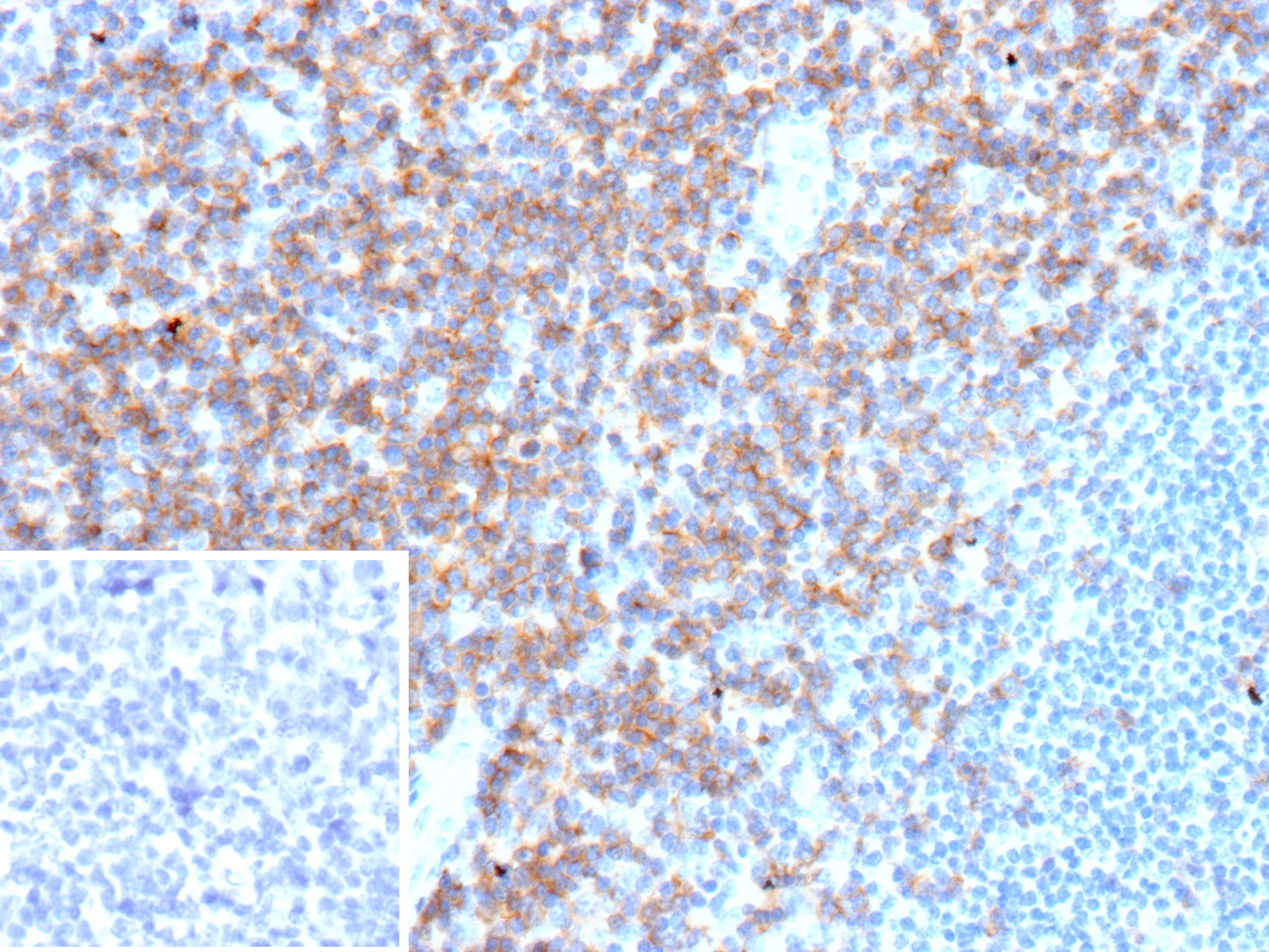
Formalin-fixed, paraffin-embedded human tonsil stained with CD27 Recombinant Mouse Monoclonal Antibody (r137B4). Inset: PBS instead of primary antibody; secondary only negative control.

SDS-PAGE Analysis of Purified CD27 Recombinant Mouse Monoclonal Antibody (r137B4). Confirmation of Purity and Integrity of Antibody.
CD27 (also known as S152 or T14) is expressed on the majority of peripheral T cells, medullary thymocytes, memory-type B cells, and natural killer cells. It is a transmembrane phosphoglycoprotein that belongs to the tumor necrosis factor receptor (TNFR) superfamily. CD27 binds to its ligand CD70, a member of the TNF family, and induces T-cell costimulation and B-cell activation. It also interacts with TRAFs and is involved in activation of NFκB and SAPK/JNK and induces apoptosis.
There are no reviews yet.