Recombinant CD2 / Lymphocyte Function Antigen 2 (LFA-2) Antibody [rLFA2/7147]

In Stock
Catalog Number Formulation Size Price
914-MSM17-P0
Purified Ab with BSA and Azide at 200ug/ml
20ug
$259.00
914-MSM17-P1
Purified Ab with BSA and Azide at 200ug/ml
100ug
$559.00
914-MSM17-P1ABX
Purified Ab WITHOUT BSA and Azide at 1.0mg/ml
100ug
$559.00
Flat Rate Domestic: $95 | Orders outside the US - Contact Us for Order Information | Ships next business day

Applications & Dilutions

Applications Tested Dillution Protocol Note
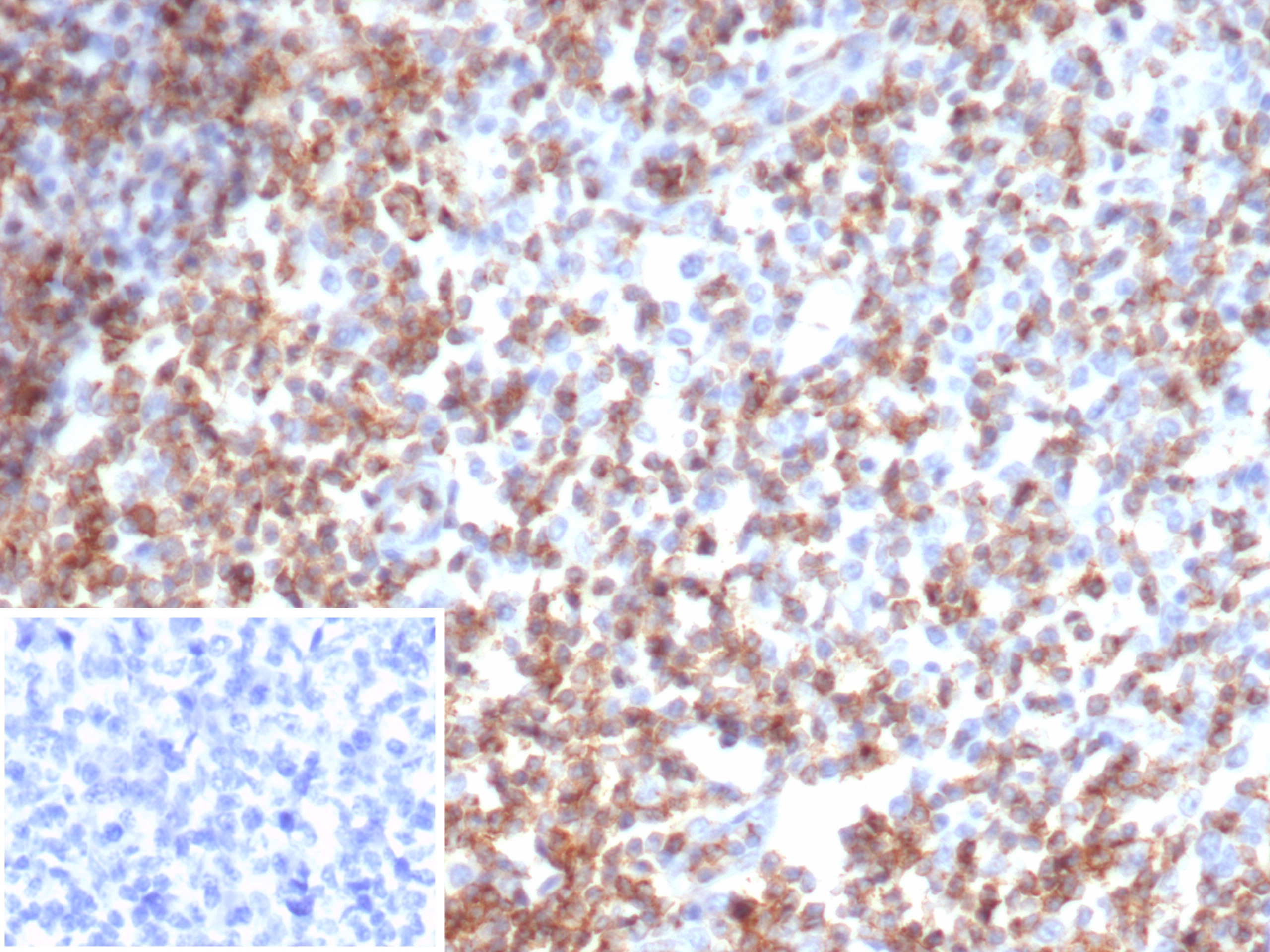
Immunohistochemistry (IHC)
1-2ug/ml
30 min at RT. Staining of formalin-fixed tissues requires heating tissue sections in 10mM Tris with 1mM EDTA, pH 9.0, for 45 min at 95°C followed by cooling at RT for 20 minutes

Summary

CD2 is mainly present on the surface of mature T cells and NK cell membranes, while B cells are usually not expressed. It can be used to label the diagnosis and study of normal T cells and their associated tumors, such as pre-t cell lymphoma, marginal T cell lymphoma and anaplastic cell lymphoma. CD2 antibody is useful for identification of precursor and mature T-cell lymphomas. Aberrant loss of CD2 in T-cell lymphomas may help to distinguish them from reactive T-cell proliferations.

Product Properties & Targets

Host
Mouse
Applications
Species Reactivity
Isotype / Light Chain
IgG1 / Kappa
Cellular Localization
Cell membrane
Gene Name
CD2
Positive Control
Human tonsil, spleen or lymph node.
Immunogen
Recombinant fragment of human CD2 protein corresponding to N-terminal (exact sequence is proprietary)
Alternate Names
T-cell surface antigen CD2, Erythrocyte receptor, LFA-2, LFA-3 receptor, Rosette receptor, T-cell surface antigen T11/Leu-5, Erythrocyte receptor; LFA-2; LFA-3 receptor; Ly-37; Lymphocyte function antigen 2; Rosette receptor; SRBC; T-cell surface antigen CD2; T-cell surface antigen T11/Leu-5; T11

Database Links

Entrez Gene ID
914
SwissProt

Additional Information

Clone
rLFA2/7147
Chromosome Location
1p13.1
Mol. Weight of Antigen
39kDa

Functions

  • CD2 interacts with lymphocyte function-associated antigen CD58 (LFA-3) and CD48/BCM1 to mediate adhesion between T-cells and other cell types. CD2 is implicated in the triggering of T-cells, the cytoplasmic domain is implicated in the signaling function.

Key References

  • Companioni N poles O, et al. J Gastroenterol 52:39-49 (2017).
  • DE Sanctis V, Belgioia L, et al. Anticancer Research 39:1935-1942 (2019).

Storage & Stability

Antibody with azide - store at 2 to 8 °C. Antibody without azide - store at -20 to -80 °C. Antibody is stable for 24 months. Non-hazardous. No MSDS required.

Limitations

This antibody is available for research use only and is not approved for use in diagnosis.

Supplied as

200ug/ml of Ab purified from Bioreactor Concentrate by Protein A/G. Prepared in 10mM PBS with 0.05% BSA & 0.05% azide. Also available WITHOUT BSA & azide at 1.0mg/ml.

Warranty

There are no warranties, expressed or implied, which extend beyond this description. Company is not liable for any personal injury or economic loss resulting from this product.

Reviews

There are no reviews yet.

Be the first to review “Recombinant CD2 / Lymphocyte Function Antigen 2 (LFA-2) Antibody”

Your email address will not be published. Required fields are marked *

PARTNERSHIP OPPORTUNITIES

NeoBiotechnologies holds Exclusive rights to 10,000 recombinant and hybridoma antibody products, available for Licensing or Collaboration.

LETS TALK