
SDS-PAGE Analysis of Purified CD2 Recombinant Mouse Monoclonal Antibody (rLFA2/8516). Confirmation of Purity and Integrity of Antibody.

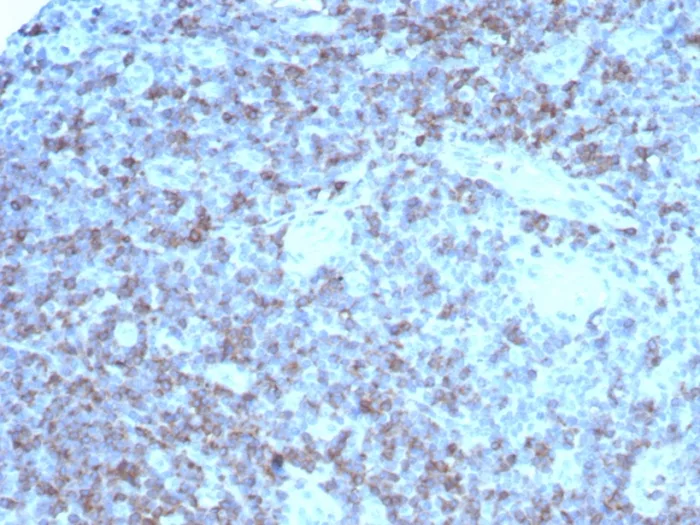
IHC analysis of formalin-fixed, paraffin-embedded human tonsil. Cell surface stained with CD2 Recombinant Mouse Monoclonal (rLFA2/8516) Inset: PBS instead of primary antibody; secondary only negative control.
CD2 is mainly present on the surface of mature T cells and NK cell membranes, while B cells are usually not expressed. It can be used to label the diagnosis and study of normal T cells and their associated tumors, such as pre-t cell lymphoma, marginal T cell lymphoma and anaplastic cell lymphoma. CD2 antibody is useful for identification of precursor and mature T-cell lymphomas. Aberrant loss of CD2 in T-cell lymphomas may help to distinguish them from reactive T-cell proliferations.
There are no reviews yet.