
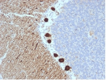
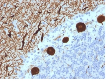
Formalin-fixed, paraffin-embedded human cerebellum stained with Carbonic Anhydrase VIII Mouse Monoclonal Antibody (CPTC-CA8-2). HIER: Tris/EDTA, pH9.0, 45min. 2°: HRP-polymer, 30min. DAB, 5min.

Formalin-fixed, paraffin-embedded human cerebellum stained with Carbonic Anhydrase VIII Mouse Monoclonal Antibody (CPTC-CA8-2). HIER: Tris/EDTA, pH9.0, 45min. 2°: HRP-polymer, 30min. DAB, 5min.

Formalin-fixed, paraffin-embedded human cerebellum stained with Carbonic Anhydrase VIII Mouse Monoclonal Antibody (CPTC-CA8-2). HIER: Tris/EDTA, pH9.0, 45min. 2°: HRP-polymer, 30min. DAB, 5min.

Formalin-fixed, paraffin-embedded human cerebellum stained with Carbonic Anhydrase VIII Mouse Monoclonal Antibody (CPTC-CA8-2). HIER: Tris/EDTA, pH9.0, 45min. 2°: HRP-polymer, 30min. DAB, 5min.

SDS-PAGE Analysis of Purified Carbonic Anhydrase VIII Mouse Monoclonal Antibody (CPTC-CA8-2). Confirmation of Purity and Integrity of Antibody

Analysis of Protein Array containing more than 19,000 full-length human proteins using Carbonic Anhydrase VIII Mouse Monoclonal Antibody (CPTC-CA8-2). Z- and S- Score: The Z-score represents the strength of a signal that a monoclonal antibody (MAb) (in combination with a fluorescently-tagged anti-IgG secondary antibody) produces when binding to a particular protein on the HuProtTM array. Z-scores are described in units of standard deviations (SD's) above the mean value of all signals generated on that array. If targets on HuProtTM are arranged in descending order of the Z-score, the S-score is the difference (also in units of SD's) between the Z-score. S-score therefore represents the relative target specificity of a MAb to its intended target. A MAb is considered to specific to its intended target, if the MAb has an S-score of at least 2.5. For example, if a MAb binds to protein X with a Z-score of 43 and to protein Y with a Z-score of 14, then the S-score for the binding of that MAb to protein X is equal to 29.
The protein encoded by this gene was initially named CA-related protein because of sequence similarity to other known carbonic anhydrase genes. However, the gene product lacks carbonic anhydrase activity (i.e., the reversible hydration of carbon dioxide). The gene product continues to carry a carbonic anhydrase designation based on clear sequence identity to other members of the carbonic anhydrase gene family. The absence of CA8 gene transcription in the cerebellum of the lurcher mutant in mice with a neurologic defect suggests an important role for this acatalytic form. Mutations in CA8 gene causes neuropathology, such as ataxia, mild mental retardation and the predisposition to quadrupedal gait. It is also associated with the development of colorectal and lung cancers. Additionally, it is upregulated in various cancers.
There are no reviews yet.