
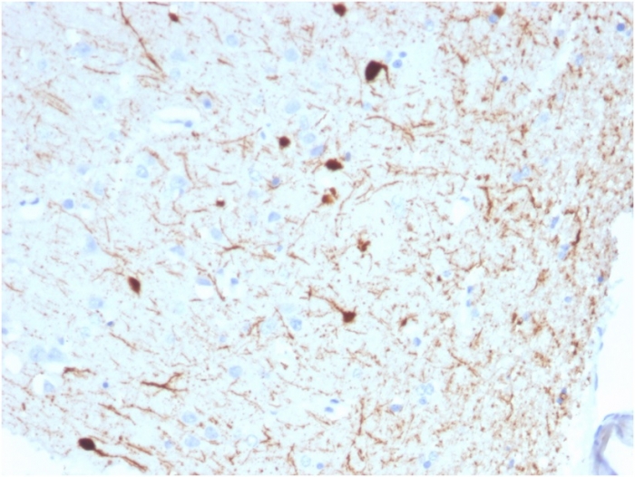
Formalin-fixed, paraffin-embedded human Cerebellum stained with Calretinin Mouse Monoclonal Antibody (CALB2/2786).

Formalin-fixed, paraffin-embedded human Testicular Carcinoma stained with Calretinin Mouse Monoclonal Antibody (CALB2/2786).

Formalin-fixed, paraffin-embedded human Mesothelioma stained with Calretinin Mouse Monoclonal Antibody (CALB2/2786).

Western Blot Analysis of human Brain tissue lysate using Calretinin Mouse Monoclonal Antibody (CALB2/2786).

SDS-PAGE Analysis of Purified Calretinin Mouse Monoclonal Antibody (CALB2/2786). Confirmation of Purity and Integrity of Antibody.

Analysis of Protein Array containing more than 19,000 full-length human proteins using Calretinin Mouse Monoclonal Antibody (CALB2/2786). Z- and S- Score: The Z-score represents the strength of a signal that a monoclonal antibody (MAb) (in combination with a fluorescently-tagged anti-IgG secondary antibody) produces when binding to a particular protein on the HuProtTM array. Z-scores are described in units of standard deviations (SD's) above the mean value of all signals generated on that array. If targets on HuProtTM are arranged in descending order of the Z-score, the S-score is the difference (also in units of SD's) between the Z-score. S-score therefore represents the relative target specificity of a MAb to its intended target. A MAb is considered to specific to its intended target, if the MAb has an S-score of at least 2.5. For example, if a MAb binds to protein X with a Z-score of 43 and to protein Y with a Z-score of 14, then the S-score for the binding of that MAb to protein X is equal to 29.
It recognizes a protein of about 29kDa, which is identified as Calretinin (also known as Calbindin 2). Calretinin is a vitamin D-dependent calcium-binding protein involved in calcium signaling. It is present in subsets of neurons throughout the brain and spinal chord, including sensory ganglia. Antibody to calretinin is useful in differentiating mesothelioma from adenocarcinomas of the lung. It also aids in differentiating adrenal cortical neoplasms from pheochromocytomas.
There are no reviews yet.