
Western blot analysis of human brain tissue lysate using Calretinin Recombinant Rabbit Monoclonal Antibody (CALB2/4688R).

Formalin-fixed, paraffin-embedded human brain stained with Calretinin Recombinant Rabbit Monoclonal Antibody (CALB2/4688). Inset: PBS instead of primary antibody; secondary only negative control.

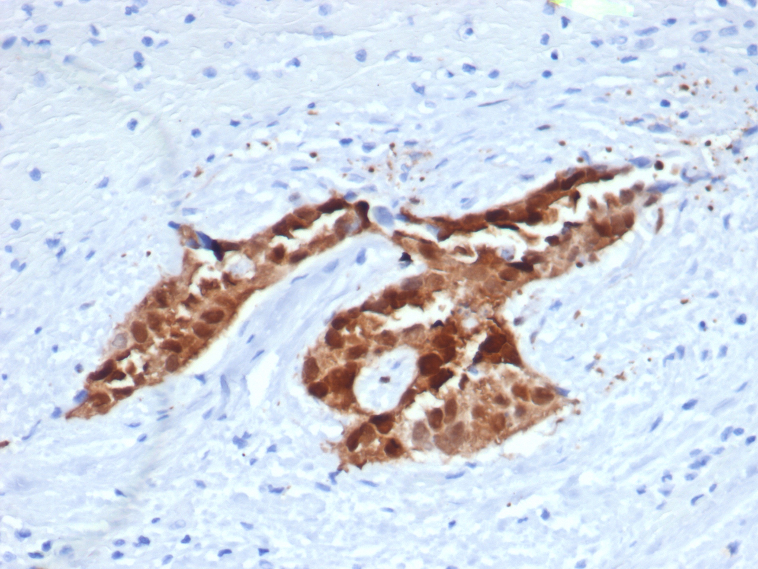
Formalin-fixed, paraffin-embedded human mesothelioma stained with Calretinin Recombinant Rabbit Monoclonal Antibody (CALB2/4688). Inset: PBS instead of primary antibody; secondary only negative control.

SDS-PAGE Analysis of Purified Calretinin Recombinant Rabbit Monoclonal Antibody (CALB2/4688). Confirmation of Purity and Integrity of Antibody.
It recognizes a protein of about 29kDa, which is identified as Calretinin (also known as Calbindin 2). Calretinin is a vitamin D-dependent calcium-binding protein involved in calcium signaling. It is present in subsets of neurons throughout the brain and spinal chord, including sensory ganglia. Antibody to calretinin is useful in differentiating mesothelioma from adenocarcinomas of the lung. It also aids in differentiating adrenal cortical neoplasms from pheochromocytomas.
There are no reviews yet.