Recombinant BRAF (V600E Mutant Specific) (Prognostic Marker) Antibody [BRAF-V600E/13276R]

In Stock
Catalog Number Formulation Size Price
673-RBM7-P0
Purified Ab with BSA and Azide at 200ug/ml
20ug
$259.00
673-RBM7-P1
Purified Ab with BSA and Azide at 200ug/ml
100ug
$559.00
673-RBM7-P1ABX
Purified Ab WITHOUT BSA and Azide at 1.0mg/ml
100ug
$559.00
Flat Rate Domestic: $95 | Orders outside the US - Contact Us for Order Information | Ships next business day

Applications & Dilutions

Applications Tested Dillution Protocol Note
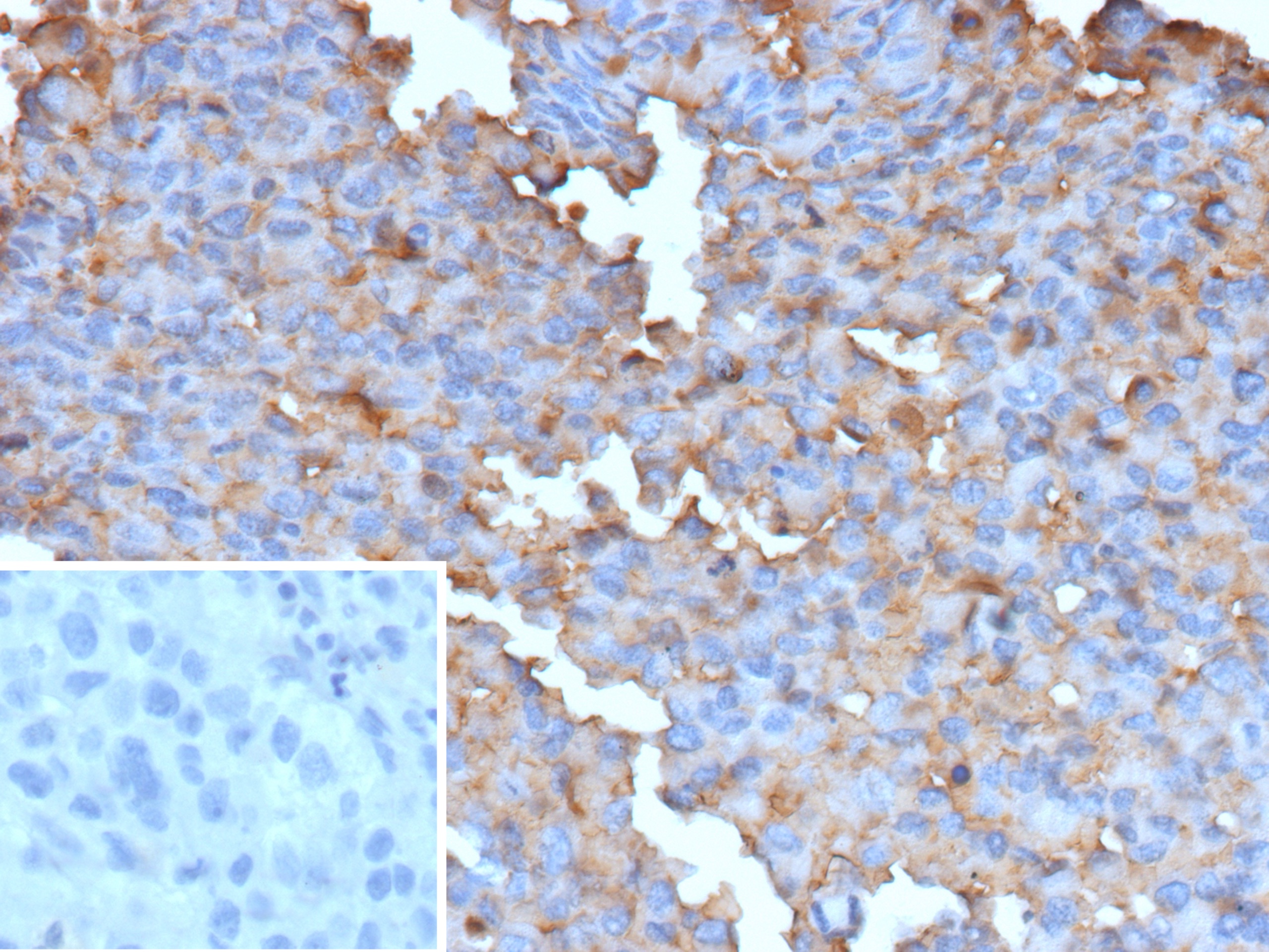
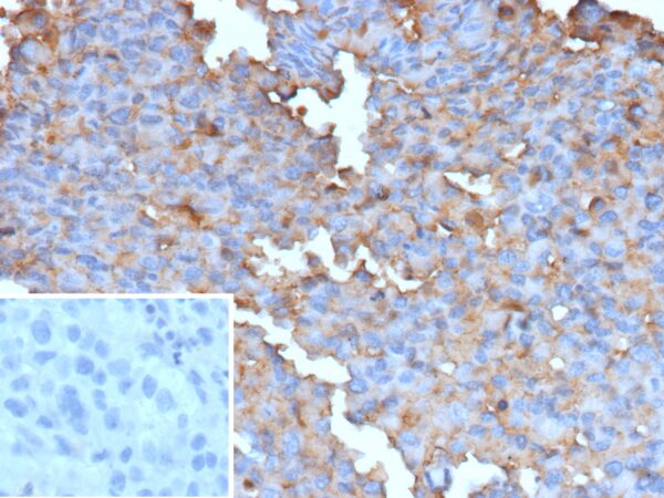
Immunohistochemistry (IHC)
1-2ug/ml
30 min at RT. Staining of formalin-fixed tissues requires heating tissue sections in 10mM Tris with 1mM EDTA, pH 9.0, for 45 min at 95°C followed by cooling at RT for 20 minutes

Summary

The BRAF gene encodes a protein that is part of the RAS-RAF-MEK-ERK signaling pathway, which regulates cell division and proliferation. The V600E mutation in the BRAF gene leads to the production of a constitutively active BRAF protein, resulting in uncontrolled cell growth and division. Identifying the presence of this mutation is crucial for diagnosing and guiding the treatment of certain cancers. The BRAF (V600E) antibody is used in immunohistochemistry to detect the presence of a specific mutation in the BRAF gene known as V600E. This mutation is commonly associated with various cancers, including melanoma, colorectal cancer, and certain types of thyroid cancer, lung cancer, and Hairy cell leukemia. The BRAF (V600E) antibody specifically binds to the mutated BRAF protein, allowing pathologists to detect the mutation in cancer tissue. Immunohistochemistry using this antibody is often employed in the evaluation of tumor specimens to aid in the diagnosis and classification of cancers.

Product Properties & Targets

Host
Rabbit
Applications
Species Reactivity
Isotype / Light Chain
IgG / Kappa
Cellular Localization
Cytoplasm
Gene Name
Positive Control
A431, Jurkat or HeLa cells. Human melanoma, brain, testis or colon carcinoma.
Immunogen
Recombinant fragment corresponding to human BRAF V600E mutant protein
Alternate Names
Serine/threonine-protein kinase B-raf, Proto-oncogene B-Raf, p94, v-Raf murine sarcoma viral oncogene homolog B1, FLJ95109; 94 kDa B raf protein; B Raf proto oncogene, serine/threonine kinase; B RAF1; B-Raf proto-oncogene serine/threonine-protein kinase (p94); BRAF 1; BRAF; BRAF1; cRmil; MGC126806; MGC138284; Murine sarcoma viral (v-raf) oncogene homolog B1; NS7; oncogene BRAF1; p94; Proto-oncogene B-Raf; Proto-oncogene c-Rmil; RAFB1; RMIL; Serine/threonine-protein kinase B-raf; v-Raf murine sarcoma viral oncogene homolog B1

Database Links

Entrez Gene ID
673
SwissProt

Additional Information

Clone
BRAF-V600E/13276R
Chromosome Location
7q34
Mol. Weight of Antigen
35kDa (predicted)

Functions

  • Protein kinase involved in the transduction of mitogenic signals from the cell membrane to the nucleus (Probable). Phosphorylates MAP2K1, and thereby activates the MAP kinase signal transduction pathway (PubMed:21441910, PubMed:29433126). Phosphorylates PFKFB2 (PubMed:36402789). May play a role in the postsynaptic responses of hippocampal neurons (PubMed:1508179).

Key References

  • Dvorak, Katerinaet al. Immunohistochemistry with the anti-BRAF V600E (VE1) antibody: impact of pre-analytical conditions and concordance with DNA sequencing in colorectal and papillary thyroid carcinoma. Pathology, 2014, 46(6): 509-517.

PubMed Links

Storage & Stability

Antibody with azide - store at 2 to 8°C. Antibody without azide - store at -20 to -80°C.Antibody is stable for 24 months. Non-hazardous. No MSDS required.

Limitations

This antibody is available for research use only and is not approved for use in diagnosis.

Supplied as

200ug/ml of Ab purified from rabbit anti-serum by Protein A. Prepared in 10mM PBS with 0.05% BSA & 0.05% azide. Also available WITHOUT BSA at 1.0mg/ml.

Warranty

There are no warranties, expressed or implied, which extend beyond this description. Company is not liable for any personal injury or economic loss resulting from this product.

Reviews

There are no reviews yet.

Be the first to review “Recombinant BRAF (V600E Mutant Specific) (Prognostic Marker) Antibody”

Your email address will not be published. Required fields are marked *

PARTNERSHIP OPPORTUNITIES

NeoBiotechnologies holds Exclusive rights to 10,000 recombinant and hybridoma antibody products, available for Licensing or Collaboration.

LETS TALK