
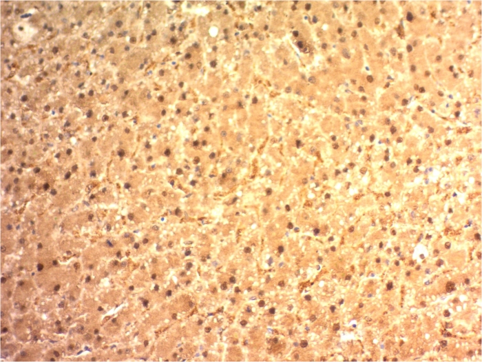
Formalin-fixed, paraffin-embedded human Hepatocellular Carcinoma stained with Arginase-1 Mouse Monoclonal Antibody(ARG1/1125).

Western Blot Analysis A) Recombinant ARG1 Protein Fragment (B) human liver tissue lysate using Arginase-1 Mouse Monoclonal Antibody (ARG1/1125).

SDS-PAGE Analysis of Purified ARG1Mouse Monoclonal Antibody (ARG1/1125). Confirmation of Integrity and Purity of Antibody.

Western Blot Analysis of human liver tissue lysate using Arginase-1 Mouse Monoclonal Antibody (ARG1/1125).

Analysis of Protein Array containing more than 19,000 full-length human proteins using Arginase-1 Mouse Monoclonal Antibody (ARG1/1125). Z- and S- Score: The Z-score represents the strength of a signal that a monoclonal antibody (MAb) (in combination with a fluorescently-tagged anti-IgG secondary antibody) produces when binding to a particular protein on the HuProtTM array. Z-scores are described in units of standard deviations (SD's) above the mean value of all signals generated on that array. If targets on HuProtTM are arranged in descending order of the Z-score, the S-score is the difference (also in units of SD's) between the Z-score. S-score therefore represents the relative target specificity of a MAb to its intended target. A MAb is considered to specific to its intended target, if the MAb has an S-score of at least 2.5. For example, if a MAb binds to protein X with a Z-score of 43 and to protein Y with a Z-score of 14, then the S-score for the binding of that MAb to protein X is equal to 29.
Recognizes a protein of 35-38kDa, which is identified as Arginase 1 (ARG1). Arginase is a manganese metallo-enzyme that catalyzes the hydrolysis of arginine to generate ornithine and urea. Arginase I and II are isoenzymes which differ in subcellular localization, regulation, and possibly function. Arginase I is a cytosolic enzyme, which is expressed mainly in the liver as part of the urea cycle, whereas arginase II is a mitochondrial protein found in a variety of tissues. Antibody to ARG-1 labels hepatocytes in normal tissues and granulocytes in peripheral blood. ARG-1 is a sensitive and specific marker for identification of hepatocellular carcinoma.
There are no reviews yet.