
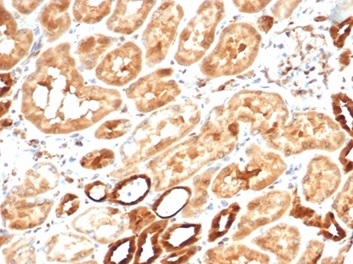
Formalin-fixed, paraffin-embedded human kidney stained with Aldose Reductase Recombinant Rabbit Monoclonal Antibody (AKR1B1/7010R). HIER: Tris/EDTA, pH9.0, 45min. 2°C: HRP-polymer, 30min. DAB, 5min.

IHC analysis of formalin-fixed, paraffin-embedded human brain. Staining using AKR1B1/7010R at 2ug/ml in PBS for 30min RT. Inset: PBS instead of primary antibody; secondary only negative control.

SDS-PAGE Analysis of Purified AKR1B1 Rabbit Monoclonal Antibody (AKR1B1/7010R). Confirmation of Purity and Integrity of Antibody.
AKR1B1, also designated as aldose reductase, is a member of the aldo/keto reductase superfamily, which consists of more than 40 known enzymes and proteins. This protein catalyzes the reduction of a number of aldehydes, including the aldehyde form of glucose, and is thereby implicated in the development of diabetic complications by catalyzing the reduction of glucose to sorbitol. It has also been shown to have decreased expression in adrenocortical cancer, and possibly play a role in adrenal tumorigenesis. It has been suggested that AKR1B1 could be investigated as a marker of malignancy for adrenal tumor diagnosis.
There are no reviews yet.