
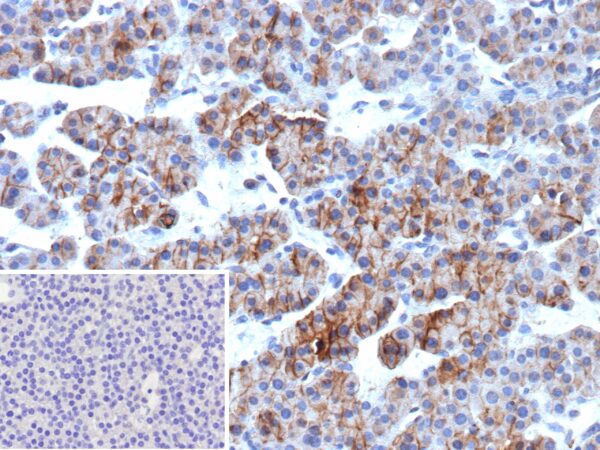
Formalin-fixed, paraffin-embedded human parathyroid gland stained with ALCAM / CD166 Recombinant Mouse Monoclonal Antibody (rMOG/07). Inset: PBS instead of primary antibody; secondary only negative control.
Activated leukocyte cell adhesion molecule (ALCAM), expressed on activated leukocytes, T cells, B cells and monocytes, is a member of the immunoglobulin superfamily (IgSF) and identified as a CD6 ligand. CD6 is a type I membrane protein in the scavenger receptor cysteine rich protein superfamily that acts in T cell adhesion and costimulation. ALCAM mediates thymocyte-thymic epithelial cell adhesion via homophilic (ALCAM-ALCAM) and heterophilic (ALCAM-CD6) interactions involving a previously undescribed protein-protein interaction between a member of the scavenger receptor cysteine rich protein superfamily and the immunoglobulin superfamily.
There are no reviews yet.