
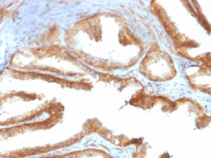
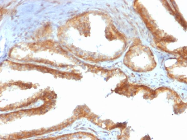
Formalin-fixed, paraffin-embedded human Prostate Carcinoma stained with YBX1 Mouse Recombinant Monoclonal Antibody (rYBX1/2430).
The specificity of this monoclonal antibody to its intended target was validated by HuProtTM Array, containing more than 19,000, full-length human proteins. Y-box binding protein-1 (YBX1) is the prototypic member of the cold shock protein family that fulfills numerous cellular functions. In the nucleus, YBX1 protein orchestrates transcription of proliferation-related genes, whereas in the cytoplasm it associates with mRNA and directs translation. In human tumor entities, such as breast, lung and prostate cancer, cellular YBX1 expression indicates poor clinical outcome, suggesting that YBX1 is an attractive marker to predict patients’ prognosis.
There are no reviews yet.