
Formalin-fixed, paraffin-embedded human Testis stained with Wilm's Tumor Mouse Recombinant Monoclonal Antibody (rWT1/857).

Formalin-fixed, paraffin-embedded human Mesothelioma stained with Wilm's Tumor Mouse Recombinant Monoclonal Antibody (rWT1/857).

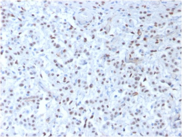
Formalin-fixed, paraffin-embedded Rat Testis stained with Wilm's Tumor Mouse Recombinant Monoclonal Antibody (rWT1/857).

Analysis of Protein Array containing more than 19,000 full-length human proteins using Wilm's Tumor Mouse Recombinant Monoclonal Antibody (rWT1/857). Z- and S- Score: The Z-score represents the strength of a signal that a monoclonal antibody (MAb) (in combination with a fluorescently-tagged anti-IgG secondary antibody) produces when binding to a particular protein on the HuProtTM array. Z-scores are described in units of standard deviations (SD's) above the mean value of all signals generated on that array. If targets on HuProtTM are arranged in descending order of the Z-score, the S-score is the difference (also in units of SD's) between the Z-score. S-score therefore represents the relative target specificity of a MAb to its intended target. A MAb is considered to specific to its intended target, if the MAb has an S-score of at least 2.5. For example, if a MAb binds to protein X with a Z-score of 43 and to protein Y with a Z-score of 14, then the S-score for the binding of that MAb to protein X is equal to 29.

SDS-PAGE Analysis of Purified Wilms tumor protein Recombinant Mouse Monoclonal Antibody (rWT1/857). Confirmation of Purity and Integrity of Antibody.
Recognizes a 47-55kDa-tumor suppressor protein, identified as Wilm’s Tumor (WT1) protein. The antibody reacts with all isoforms of the full-length WT1 and also identifies WT1 lacking exon 2-encoded amino acids, frequently found in subsets of sporadic Wilm’s tumors.WT1, a sporadic and familial pediatric kidney tumor, is genetically heterogeneous. Wilm’s tumor is associated with mutations of WT1, a zinc-finger transcription factor that is essential for the development of the metanephric kidney and the urogenital system. The WT1 gene is normally expressed in fetal kidney and mesothelium, and its expression has been suggested as a marker for Wilm’s tumor and mesothelioma. WT1 protein has been identified in proliferative mesothelial cells, malignant mesothelioma, ovarian carcinoma, gonadoblastoma, nephroblastoma, and desmoplastic small round cell tumor. Lung adenocarcinomas rarely stain positive with this antibody. WT1 protein expression in mesothelial cells has become a reliable marker for the diagnosis of mesotheliomas.
There are no reviews yet.