Vitronectin Receptor / CD51 / CD61 Antibody [23C6]

In Stock
Catalog Number Formulation Size Price
MSM1-1471-P0
Purified Ab with BSA and Azide at 200ug/ml
20ug
$259.00
MSM1-1471-P1
Purified Ab with BSA and Azide at 200ug/ml
100ug
$559.00
MSM1-1471-P1ABX
Purified Ab WITHOUT BSA and Azide at 1.0mg/ml
100ug
$559.00
Flat Rate Domestic: $95 | Orders outside the US - Contact Us for Order Information | Ships next business day

Summary

ITAGV encodes integrin alpha chain V. Integrins are heterodimeric integral membrane proteins composed of an alpha chain and a beta chain. The I-domain containing integrin alpha V undergoes post-translational cleavage to yield disulfide-linked heavy and light chains, that combine with multiple integrin beta chains to form different integrins. Among the known associating beta chains (beta chains 1,3,5,6, and 8; 'ITGB1', 'ITGB3', 'ITGB5', 'ITGB6', and 'ITGB8'), each can interact with extracellular matrix ligands; the alpha V beta 3 integrin, perhaps the most studied of these, is referred to as the Vitronectin Receptor (VNR). In addition to adhesion, many integrins are known to facilitate signal transduction. Alternative splicing results in multiple transcript variants. Reacts with Integrin Alpha V Beta 3. 23C6 may be useful for bone resorption modulation, osteoclast identification, receptor purification, malignant melanoma identification and treatment.

Product Properties & Targets

Antibody Type
Host
Mouse
Applications
Species Reactivity
Isotype / Light Chain
IgG1 / Kappa
Cellular Localization
Cell junction, Cell membrane, Focal adhesion
Gene Name
Positive Control
A375M melanoma cells. A549 cells., Squamous cells
Immunogen
Osteoclasts from osteoclastomas
Alternate Names
Integrin alpha-V, Vitronectin receptor, Vitronectin receptor subunit alpha, CD51; DKFZp686A08142; integrin alpha V beta 3; Integrin alpha-5 Integrin alpha-V light chain; integrin alphaVbeta3; integrin, alpha V (vitronectin receptor, alpha polypeptide, antigen CD51); ITGAV; Msk8; VNRA; VTNR

Database Links

Entrez Gene ID
SwissProt

Additional Information

Clone
23C6
Chromosome Location
2q32.1
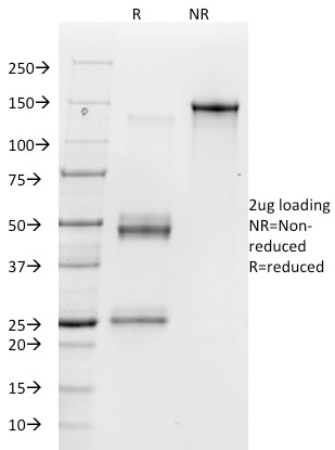
Mol. Weight of Antigen
150-160kDa under non-reducing conditions. Under reducing conditions|it is cleaved into 2 bands of about 125-130kDa +20-25kDa.

Functions

  • The alpha-V (ITGAV) integrins are receptors for vitronectin, cytotactin, fibronectin, fibrinogen, laminin, matrix metalloproteinase-2, osteopontin, osteomodulin, prothrombin, thrombospondin and vWF. They recognize the sequence R-G-D in a wide array of ligands. ITGAV:ITGB3 binds to fractalkine (CX3CL1) and may act as its coreceptor in CX3CR1-dependent fractalkine signaling (PubMed:23125415). ITGAV:ITGB3 binds to NRG1 (via EGF domain) and this binding is essential for NRG1-ERBB signaling (PubMed:20682778). ITGAV:ITGB3 binds to FGF1 and this binding is essential for FGF1 signaling (PubMed:18441324). ITGAV:ITGB3 binds to FGF2 and this binding is essential for FGF2 signaling (PubMed:28302677). ITGAV:ITGB3 binds to IGF1 and this binding is essential for IGF1 signaling (PubMed:19578119). ITGAV:ITGB3 binds to IGF2 and this binding is essential for IGF2 signaling (PubMed:28873464). ITGAV:ITGB3 binds to IL1B and this binding is essential for IL1B signaling (PubMed:29030430). ITGAV:ITGB3 binds to PLA2G2A via a site (site 2) which is distinct from the classical ligand-binding site (site 1) and this induces integrin conformational changes and enhanced ligand binding to site 1 (PubMed:18635536, PubMed:25398877). ITGAV:ITGB3 and ITGAV:ITGB6 act as a receptor for fibrillin-1 (FBN1) and mediate R-G-D-dependent cell adhesion to FBN1 (PubMed:12807887, PubMed:17158881). Integrin alpha-V/beta-6 or alpha-V/beta-8 (ITGAV:ITGB6 or ITGAV:ITGB8) mediates R-G-D-dependent release of transforming growth factor beta-1 (TGF-beta-1) from regulatory Latency-associated peptide (LAP), thereby playing a key role in TGF-beta-1 activation (PubMed:15184403, PubMed:22278742, PubMed:28117447). ITGAV:ITGB3 act as a receptor for CD40LG (PubMed:31331973).
  • (Microbial infection) Integrin ITGAV:ITGB5 acts as a receptor for Adenovirus type C.
  • (Microbial infection) Integrin ITGAV:ITGB5 and ITGAV:ITGB3 act as receptors for Coxsackievirus A9 and B1.
  • (Microbial infection) Integrin ITGAV:ITGB3 acts as a receptor for Herpes virus 8/HHV-8.
  • (Microbial infection) Integrin ITGAV:ITGB6 acts as a receptor for herpes simplex 1/HHV-1.
  • (Microbial infection) Integrin ITGAV:ITGB3 acts as a receptor for Human parechovirus 1.
  • (Microbial infection) Integrin ITGAV:ITGB3 acts as a receptor for West nile virus.
  • (Microbial infection) In case of HIV-1 infection, the interaction with extracellular viral Tat protein seems to enhance angiogenesis in Kaposi's sarcoma lesions.

Key References

  • Kotake, S et al. Cell Biol Int. 2013 Jan;37(1):65-77.

PubMed Links

Storage & Stability

Antibody with azide - store at 2 to 8°C. Antibody without azide - store at -20 to -80°C. Antibody is stable for 24 months. Non-hazardous. No MSDS required.

Limitations

This antibody is available for research use only and is not approved for use in diagnosis.

Supplied as

200ug/ml of Ab Purified from Bioreactor Concentrate by Protein A/G. Prepared in 10mM PBS with 0.05% BSA & 0.05% azide. Also available WITHOUT BSA & azide at 1.0mg/ml.

Warranty

There are no warranties, expressed or implied, which extend beyond this description. Company is not liable for any personal injury or economic loss resulting from this product.

Reviews

There are no reviews yet.

Be the first to review “Vitronectin Receptor / CD51 / CD61 Antibody”

Your email address will not be published. Required fields are marked *

PARTNERSHIP OPPORTUNITIES

NeoBiotechnologies holds Exclusive rights to 10,000 recombinant and hybridoma antibody products, available for Licensing or Collaboration.

LETS TALK