
SDS-PAGE Analysis of Purified Transferrin Mouse Monoclonal Antibody (TF/4799). Confirmation of Purity and Integrity of Antibody.

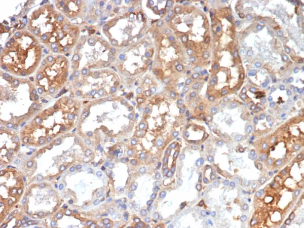
Formalin-fixed, paraffin-embedded human kidney stained with Transferrin Mouse Monoclonal Antibody (TF/4799). HIER: Tris/EDTA, pH9.0, 45min. 2°C: HRP-polymer, 30min. DAB, 5min.

Analysis of Protein Array containing >19,000 full-length human proteins using Transferrin Mouse Monoclonal Antibody (TF/4799) Z- and S- Score: The Z-score represents the strength of a signal that a monoclonal antibody (MAb) (in combination with a fluorescently-tagged anti-IgG secondary antibody) produces when binding to a particular protein on the HuProtTM array. Z-scores are described in units of standard deviations (SD's) above the mean value of all signals generated on that array. If targets on HuProtTM are arranged in descending order of the Z-score, the S-score is the difference (also in units of SD's) between the Z-score. S-score therefore represents the relative target specificity of a MAb to its intended target. A MAb is considered to specific to its intended target, if the MAb has an S-score of at least 2.5. For example, if a MAb binds to protein X with a Z-score of 43 and to protein Y with a Z-score of 14, then the S-score for the binding of that MAb to protein X is equal to 29.
Iron (Fe) is a tightly metabolically controlled mineral and growth factor present in all living cells. Iron not bound in erythrocyte hemoglobin is transported by transferrin (Tf), the iron transport protein of vertebrate serum. The transferrin protein contains two homologous domains, each of which contain an Fe-binding site. The majority of transferrin is synthesized in the liver and secreted into the blood, but it is also produced in lower amounts in testis and brain as well as in oligodendrocytes, where transferrin is an early marker of oligodendrocyte differentiation. From the blood, transferrin is internalized by erythroblasts and reticulocytes upon binding the transferrin receptor (TfR), also designated CD71, through a system of coated pits and vesicles. After Fe release, transferrin is returned to the extracellular medium, where it can be reused. Defects in the transferrin gene results in atransferrinemia, a rare autosomal recessive disorder characterized by microcytic anemia and iron loading.
There are no reviews yet.