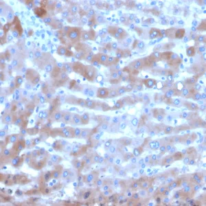
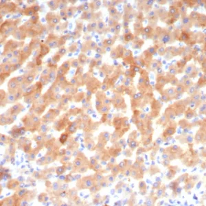
TF Antibodies

Synonyms

Serotransferrin, Beta-1 metal-binding globulin, Siderophilin, Apotransferrin; Beta-1 metal-binding globulin; Serotransferrin; Siderophilin; TF; TFQTL1; Transferrin

Research Areas

Cardiovascular

TF

PARTNERSHIP OPPORTUNITIES

NeoBiotechnologies holds Exclusive rights to 10,000 recombinant and hybridoma antibody products, available for Licensing or Collaboration.

LETS TALK