
Formalin-fixed, paraffin-embedded human Spleen stained with TRAF1 Mouse Monoclonal Antibody (TRAF1/2770).

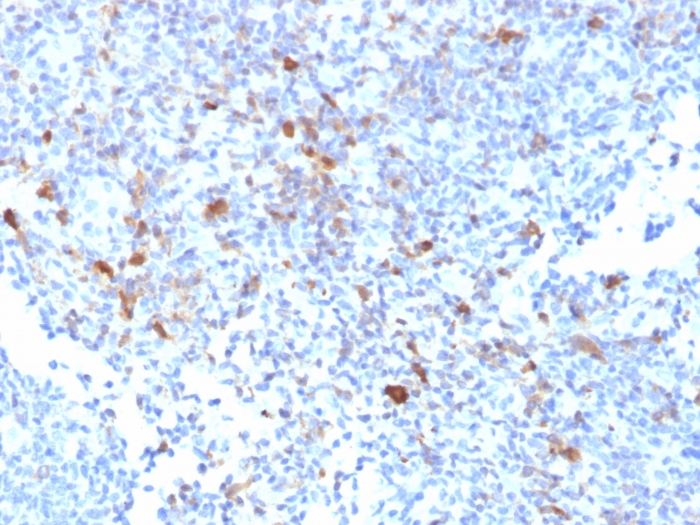
Formalin-fixed, paraffin-embedded human Lymph Node stained with TRAF1 Mouse Monoclonal Antibody (TRAF1/2770).

Analysis of Protein Array containing more than 19,000 full-length human proteins using TRAF1 Mouse Monoclonal Antibody (TRAF1/2770) Z- and S- Score: The Z-score represents the strength of a signal that a monoclonal antibody (Monoclonal Antibody) (in combination with a fluorescently-tagged anti-IgG secondary antibody) produces when binding to a particular protein on the HuProtTM array. Z-scores are described in units of standard deviations (SD’s) above the mean value of all signals generated on that array. If targets on HuProtTM are arranged in descending order of the Z-score, the S-score is the difference (also in units of SD’s) between the Z-score. S-score therefore represents the relative target specificity of a Monoclonal Antibody to its intended target. A Monoclonal Antibody is considered to specific to its intended target, if the Monoclonal Antibody has an S-score of at least 2.5. For example, if a Monoclonal Antibody binds to protein X with a Z-score of 43 and to protein Y with a Z-score of 14, then the S-score for the binding of that Monoclonal Antibody to protein X is equal to 29.
This MAb recognizes a protein of 52kDa, which is identified as TNFR1 (TNFR-associated factor 1). CD30-positive lymphoproliferations of the skin comprise 30% of all primary cutaneous T-cell lymphomas (CTCLs). Besides borderline cases this group includes lymphomatoid papulosis (LyP) and primary cutaneous anaplastic large T-cell lymphoma (cALCL). Although the two entities overlap clinically, histopathologically, immunopathologically and genetically, they differ considerably in their prognosis. In particular, common feature of both cases is histologically the presence of atypical lymphoid CD30-positive T blasts and genetically a clonal T-cell-receptor rearrangement. However, both cases differ considerably in their clinical course: Lesions of LyP regress spontaneously, whereas those of cALCL persist and may progress and spread. Moreover, LyP patients do not benefit from an aggressive radio- and/or chemotherapeutic approach, in contrast to patients with cALCL. Besides, LyP and cALCL differ strongly in the expression of TRAF1 (tumor necrosis factor receptor (TNFR)-associated factor 1), a component of TNFR signaling: Whereas tumor cells of most LyP cases (ca. 84%) show a strong TRAF1 expression, tumor cells of cALCL reveal TRAF1 expression in only a few cases (ca. 7%). Antibody to TRAF1 is highly useful for the differentiation of LyP and cALCL in patients with cutaneous CD30-positive lymphoproliferations.
There are no reviews yet.