
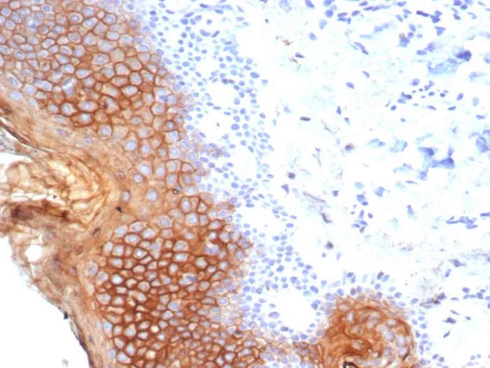
Formalin-fixed, paraffin-embedded human esophagus stained with Suprabasin (SBSN) Mouse Monoclonal Antibody (SBSN/7965). HIER: Tris/EDTA, pH9.0, 45min. 2°C: HRP-polymer, 30min. DAB, 5min.
Suprabasin (SBSN) is a 247 amino acid secreted protein that is upregulated in differentiating keratinocytes and is though to play a role in epidermal differentiation. Expressed in uterus, skin, thymus and esophagus, suprabasin is encoded by a gene that maps to human chromosome 19q13.12. Chromosome 19 consists of about 63 million bases with over 1,400 genes, making up over 2% of human genomic DNA. Chromosome 19 is the genetic home for a number of immunoglobulin superfamily members, including the killer cell and leukocyte Ig-like receptors, a number of ICAMs, the CEACAM and PSG families, and Fca receptors. Key genes for eye color and hair color also map to chromosome 19. Peutz-Jeghers syndrome, spinocerebellar ataxia type 6, the stroke disorder CADASIL, hypercholesterolemia and Insulin-dependent diabetes have been linked to chromosome 19.
There are no reviews yet.