
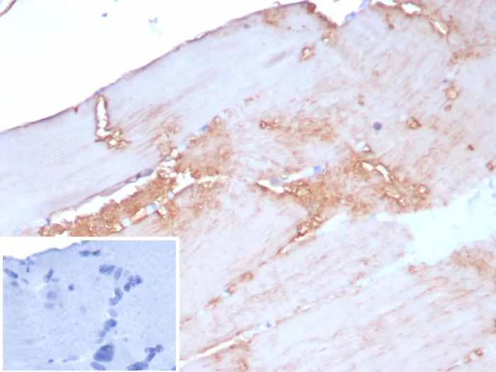
Formalin-fixed, paraffin-embedded human skeletal muscle stained with ACTN2 Recombinant Mouse Monoclonal Antibody (rACTN2/8177). Inset: PBS instead of primary antibody; secondary only negative control.

SDS-PAGE Analysis of Purified ACTN2 Recombinant Mouse Monoclonal Antibody (rACTN2/8177). Confirmation of Purity and Integrity of Antibody.
Alpha actinins belong to the spectrin gene superfamily which represents a diverse group of cytoskeletal proteins, including the alpha and beta spectrins and dystrophins. Alpha actinin is an actin-binding protein with multiple roles in different cell types. In non-muscle cells, the cytoskeletal isoform is found along microfilament bundles and adherens-type junctions, where it is involved in binding actin to the membrane. In contrast, skeletal, cardiac, and smooth muscle isoforms are localized to the Z-disc and analogous dense bodies, where they help anchor the myofibrillar actin filaments. This gene encodes a muscle-specific, alpha actinin isoform that is expressed in both skeletal and cardiac muscles. Several transcript variants encoding different isoforms have been found for this gene.
There are no reviews yet.