Recombinant SALL-4 (Metastatic Germ Cell Tumor Marker) Antibody [SALL4/7802R]

In Stock
Catalog Number Formulation Size Price
57167-RBM2-P0
Purified Ab with BSA and Azide at 200ug/ml
20ug
$259.00
57167-RBM2-P1
Purified Ab with BSA and Azide at 200ug/ml
100ug
$559.00
57167-RBM2-P1ABX
Purified Ab WITHOUT BSA and Azide at 1.0mg/ml
100ug
$559.00
Flat Rate Domestic: $95 | Orders outside the US - Contact Us for Order Information | Ships next business day

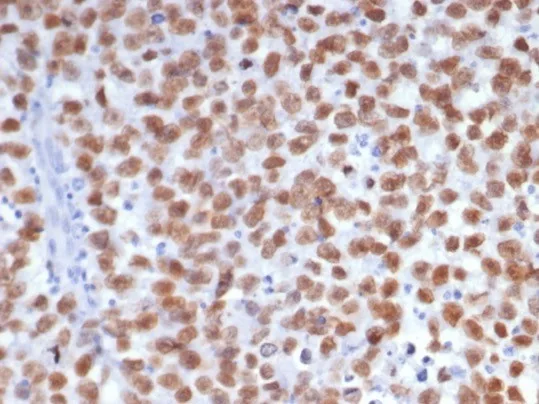
Applications & Dilutions

Applications Tested Dillution Protocol Note
Immunohistochemistry (IHC)
1-2ug/ml
30 min at RT. Staining of formalin-fixed tissues requires heating tissue sections in 10mM Tris with 1mM EDTA, pH 9.0, for 45 min at 95°C followed by cooling at RT for 20 minutes

Summary

Sall3 (SALL3, sal-like 3) and Sall4 (SALL4, sal-like 4) are mammalian homologs of the Drosophila region-specific homeotic gene spalt, which encodes a zinc finger-containing transcription regulator. Drosophila spalt is an essential genetic component required for the specification of posterior head and anterior tail as opposed to trunk. Sall3 is expressed at 24 weeks of gestation in several regions of the human fetal brain including neurons of the hippocampus formation and of mediodorsal and ventrolateral thalamic nuclei, Purkinje cells of the cerebellum, and a subset of neurons in the brainstem. Sall4 expression in early mouse embryos is gradually confined to the head region and the primitive streak, followed by prominent expression in the developing midbrain, branchial arches, limbs and genital papilla.

Product Properties & Targets

Host
Rabbit
Applications
Species Reactivity
Isotype / Light Chain
IgG / Kappa
Cellular Localization
Nucleus
Gene Name
Positive Control
Human testis, seminoma or ovary.
Immunogen
Recombinant fragment (around aa100-300) of human SALL-4 protein (exact sequence is proprietary)
Alternate Names
Sal-like protein 4, Zinc finger protein 797, Zinc finger protein SALL4, DRRS; HSAL4; Sal like 4 (Drosophila); Sal like Protein 4; Sall4; Spalt like transcription factor 4; Tex20; Zinc finger protein 797; Zinc finger protein SALL4; ZNF797

Database Links

Entrez Gene ID
SwissProt

Additional Information

Clone
SALL4/7802R
Chromosome Location
20q13.2
Mol. Weight of Antigen
165 / 95 kDa (A isoform / B isoform)
Expression System
HEK293 Cells

Functions

  • Transcription factor with a key role in the maintenance and self-renewal of embryonic and hematopoietic stem cells.

Key References

  • Di Tomaso, T., et al. 2010. Immunobiological characterization of cancer stem cells isolated from glioblastoma patients. Clin. Cancer Res. 16: 800-813.

Storage & Stability

Antibody with azide - store at 2 to 8°C. Antibody without azide - store at -20 to -80°C. Antibody is stable for 24 months. Non-hazardous. No MSDS required.

Limitations

This antibody is available for research use only and is not approved for use in diagnosis.

Supplied as

200ug/ml of Ab purified by Protein A Column. Prepared in 10mM PBS with 0.05% BSA & 0.05% azide. Also available WITHOUT BSA & azide at 1.0mg/ml.

Warranty

There are no warranties, expressed or implied, which extend beyond this description. Company is not liable for any personal injury or economic loss resulting from this product.

Reviews

There are no reviews yet.

Be the first to review “Recombinant SALL-4 (Metastatic Germ Cell Tumor Marker) Antibody”

Your email address will not be published. Required fields are marked *

PARTNERSHIP OPPORTUNITIES

NeoBiotechnologies holds Exclusive rights to 10,000 recombinant and hybridoma antibody products, available for Licensing or Collaboration.

LETS TALK