
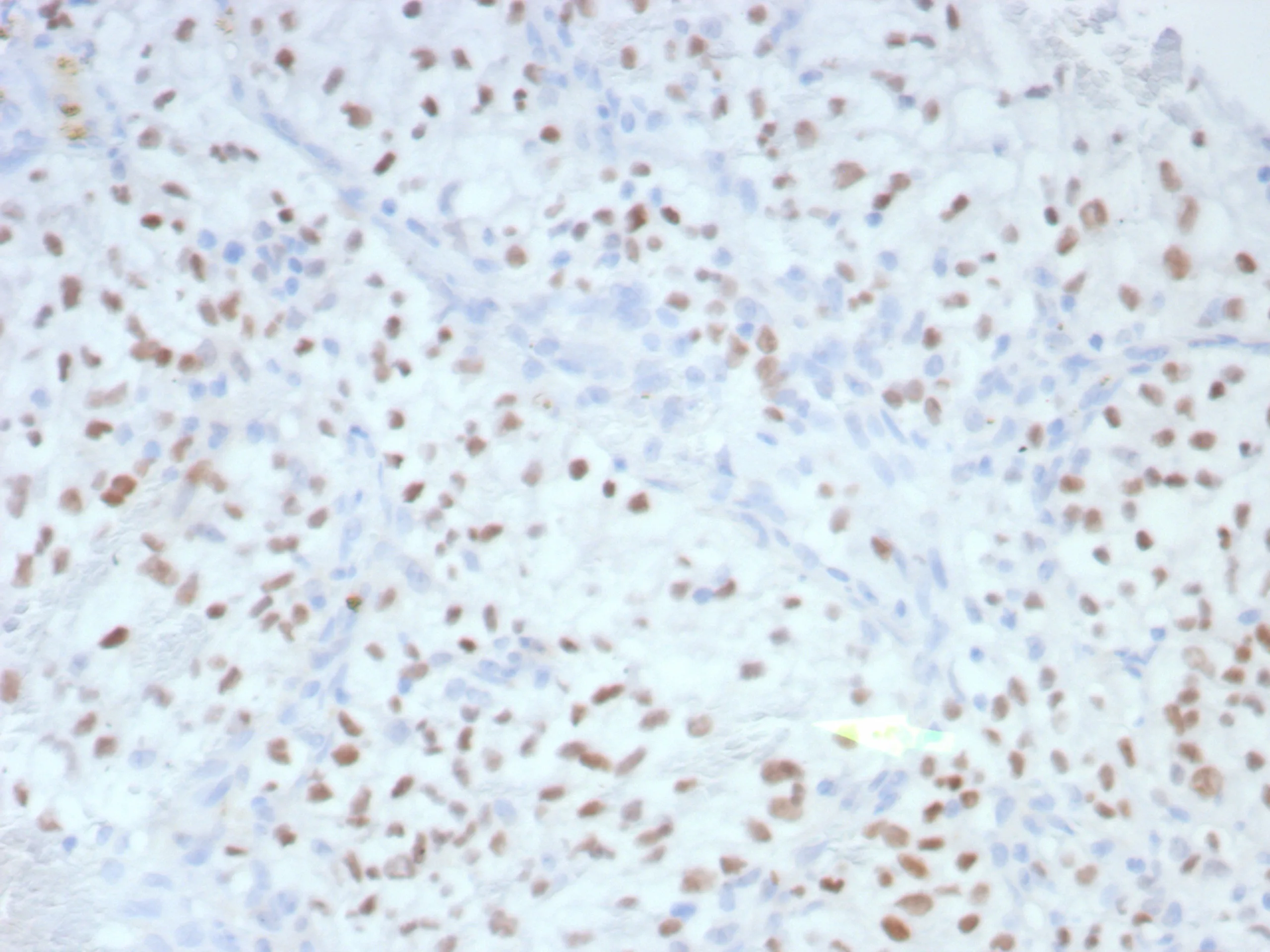
Formalin-fixed, paraffin-embedded human renal cell carcinoma stained with PAX2 Recombinant Mouse Monoclonal Antibody (rPAX2/8506). HIER: Tris/EDTA, pH9.0, 45min. 2°: HRP-polymer, 30min. DAB, 5min.
Recognizes a protein of 42kDa, which is identified as PAX2. It is a member of the paired box family of transcription factors, which is required for development and proliferation of the kidney, brain, and mullerian organs. PAX2 genes contain a highly conserved DNA sequence within the paired box region, which encodes a DNA-binding domain, enabling PAX proteins to bind the promoters of specific genes to transcriptionally regulate their expression. PAX2 is specifically expressed in the developing central nervous system, eye, ear, and urogenital tract, and is essential for the development of these organs. In normal adult tissues PAX2 was mainly detected in the urogenital system, including kidney, ureteric epithelium, fallopian tube epithelium, ovary and uterus. In tumors, PAX2 has been detected in renal cell carcinomas, Wilms' tumors, nephrogenic adenomas and papillary serous carcinoma of the ovary. PAX2 has been used as a marker for the identification of renal cell carcinoma and ovarian carcinoma by immunohistochemistry.
There are no reviews yet.