
Formalin-fixed, paraffin-embedded human Colon Carcinoma stained with PAX2 Mouse Monoclonal Antibody (PAX2/1104).

Formalin-fixed, paraffin-embedded human Ovarian Carcinoma stained with PAX2 Mouse Monoclonal Antibody (PAX2/1104).

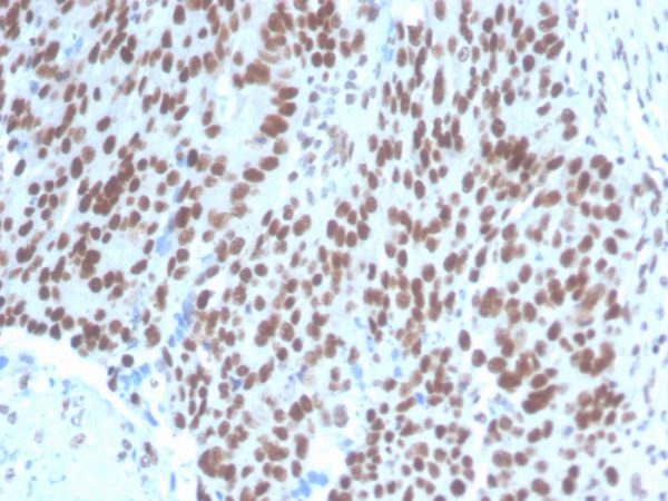
Formalin-fixed, paraffin-embedded human Renal Cell Carcinoma stained with PAX2 Mouse Monoclonal Antibody (PAX2/1104).

SDS-PAGE Analysis Purified PAX2, Monoclonal Antibody (PAX2/1104). Confirmation of Integrity and Purity of Antibody.

Analysis of Protein Array containing more than 19,000 full-length human proteins using PAX2 Mouse Monoclonal Antibody (PAX2/1104). Z- and S- Score: The Z-score represents the strength of a signal that a monoclonal antibody (MAb) (in combination with a fluorescently-tagged anti-IgG secondary antibody) produces when binding to a particular protein on the HuProtTM array. Z-scores are described in units of standard deviations (SD's) above the mean value of all signals generated on that array. If targets on HuProtTM are arranged in descending order of the Z-score, the S-score is the difference (also in units of SD's) between the Z-score. S-score therefore represents the relative target specificity of a MAb to its intended target. A MAb is considered to specific to its intended target, if the MAb has an S-score of at least 2.5. For example, if a MAb binds to protein X with a Z-score of 43 and to protein Y with a Z-score of 14, then the S-score for the binding of that MAb to protein X is equal to 29.
Recognizes a protein of 42kDa, which is identified as PAX2. It is a member of the paired box family of transcription factors, which is required for development and proliferation of the kidney, brain, and mullerian organs. PAX2 genes contain a highly conserved DNA sequence within the paired box region, which encodes a DNA-binding domain, enabling PAX proteins to bind the promoters of specific genes to transcriptionally regulate their expression. PAX2 is specifically expressed in the developing central nervous system, eye, ear, and urogenital tract, and is essential for the development of these organs. In normal adult tissues PAX2 was mainly detected in the urogenital system, including kidney, ureteric epithelium, fallopian tube epithelium, ovary and uterus. In tumors, PAX2 has been detected in renal cell carcinomas, Wilms’ tumors, nephrogenic adenomas and papillary serous carcinoma of the ovary. PAX2 has been used as a marker for the identification of renal cell carcinoma and ovarian carcinoma by immunohistochemistry.
There are no reviews yet.