
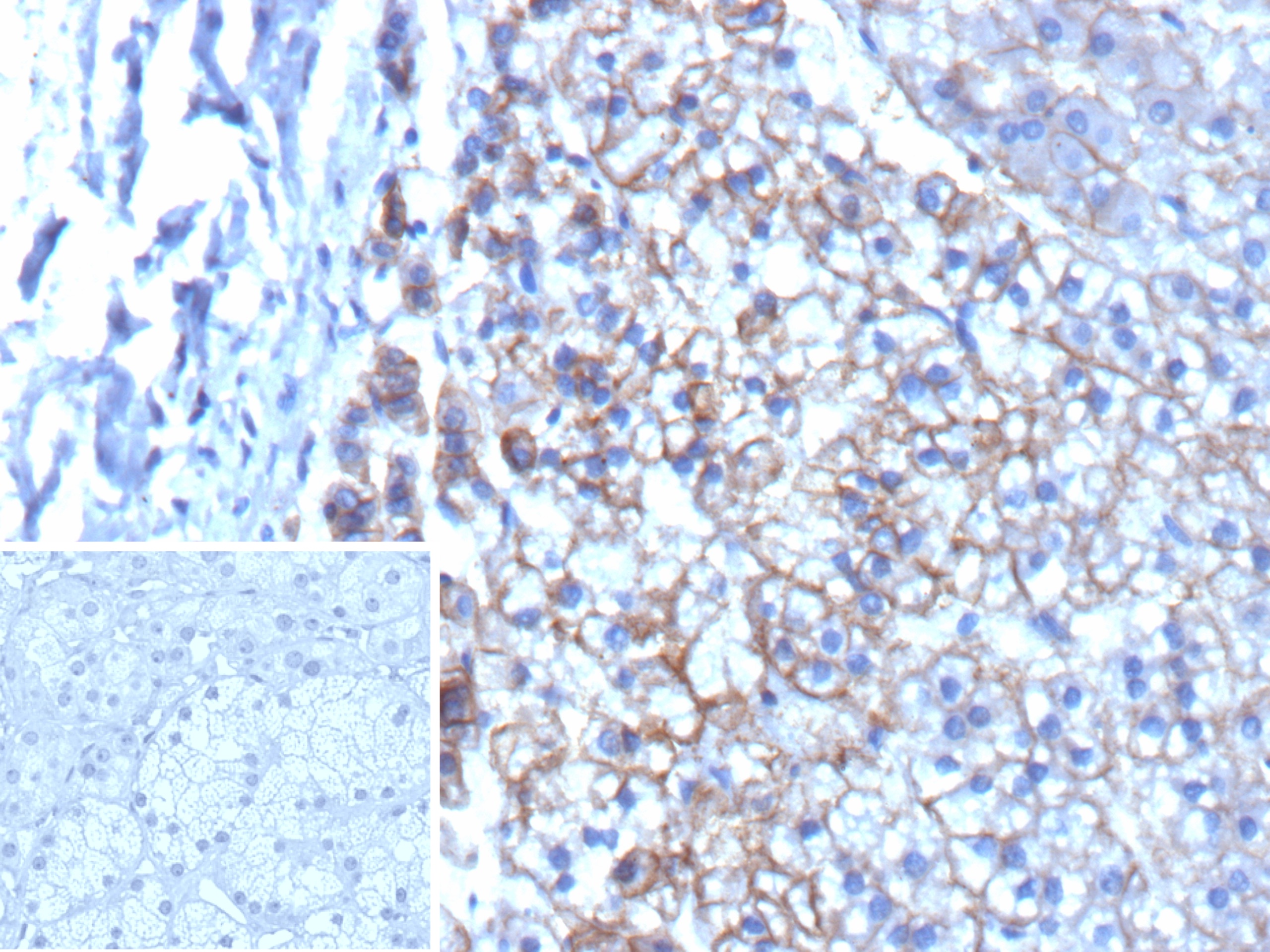
Formalin-fixed, paraffin-embedded human adrenal gland stained with MRP3 Recombinant Mouse Monoclonal Antibody (rDTX1). Inset: PBS instead of primary antibody; secondary only negative control.
The human multidrug resistance-associated protein (MRP) gene family contains at least 6 members designated MRP-1 to 6. MRP3 is a 190 to 200 kD integral membrane protein which is an organic anion transporter effective in transporting chemotherapeutic drugs such as MTX, etoposide and teniposide. Northern blotting of various human tissues has indicated MRP3 to be expressed in liver, colon, pancreas and at lower levels in the kidney. In liver, MRP3 is localized to the basolateral membrane of hepatocytes and is not associated with the canalicular membrane. MRP3 is also thought to play a role in bile production and secretion in the liver.
There are no reviews yet.