
Formalin-fixed, paraffin-embedded human Pancreatic Carcinoma stained with MRP3 Mouse Monoclonal Antibody (ABCC3/2971).

Formalin-fixed, paraffin-embedded human Pancreatic Carcinoma stained with MRP3 Mouse Monoclonal Antibody (ABCC3/2971).

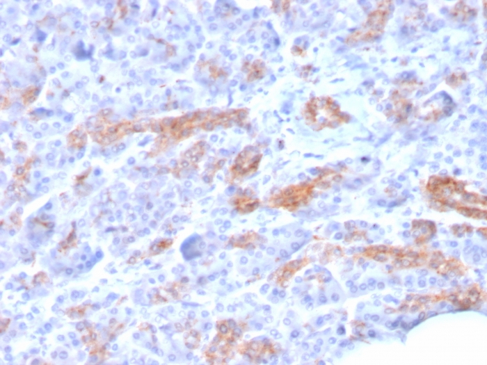
Formalin-fixed, paraffin-embedded human Pancreatic Carcinoma stained with MRP3 Mouse Monoclonal Antibody (ABCC3/2971).

Analysis of Protein Array containing more than 19,000 full-length human proteins using MRP3 Mouse Monoclonal Antibody (ABCC3/2971). Z- and S- Score: The Z-score represents the strength of a signal that a monoclonal antibody (MAb) (in combination with a fluorescently-tagged anti-IgG secondary antibody) produces when binding to a particular protein on the HuProtTM array. Z-scores are described in units of standard deviations (SD's) above the mean value of all signals generated on that array. If targets on HuProtTM are arranged in descending order of the Z-score, the S-score is the difference (also in units of SD's) between the Z-score. S-score therefore represents the relative target specificity of a MAb to its intended target. A MAb is considered to specific to its intended target, if the MAb has an S-score of at least 2.5. For example, if a MAb binds to protein X with a Z-score of 43 and to protein Y with a Z-score of 14, then the S-score for the binding of that MAb to protein X is equal to 29.
The two members of the large family of ABC transporters known to confer multidrug resistance in human cancer cells are the MDR1 P-glycoprotein and the multidrug-resistance protein MRP1. MRP1 is an integral membrane protein that contains an MDR-like core, an N-terminal membrane-bound region and a cytoplasmic linker, and it is expressed in various cerebral cells, as well as in lung, testis and peripheral blood. The MRP gene family also includes MRP2, which is alternatively designated cMOAT (for canalicular multispecific organic anion transporter) and MRP3, which are both conjugate export pumps exp- ressed predominantly in hepatocytes. MRP2 localizes exclusively to the apical membrane and is constitutively expressed at a high level in normal liver cells. Conversely, MRP3 localizes to the basolateral membrane where it also medi- ates the transport of the organic anion S-(2,4-dinitrophenyl-) glutathione toward the basolateral side of the membrane. MRP3 is normally expressed at comparatively lower levels than MRP2 and increases only when secretion across the apical membrane by MRP2 is impaired.
There are no reviews yet.