Recombinant CD39 / ENTPD1 (Marker of Tumor-specific T cells) Antibody [r22A9]

In Stock
Catalog Number Formulation Size Price
953-MSM7-P0
Purified Ab with BSA and Azide at 200ug/ml
20ug
$259.00
953-MSM7-P1
Purified Ab with BSA and Azide at 200ug/ml
100ug
$559.00
953-MSM7-P1ABX
Purified Ab WITHOUT BSA and Azide at 1.0mg/ml
100ug
$559.00
Flat Rate Domestic: $95 | Orders outside the US - Contact Us for Order Information | Ships next business day

Applications & Dilutions

Applications Tested Dillution Protocol Note
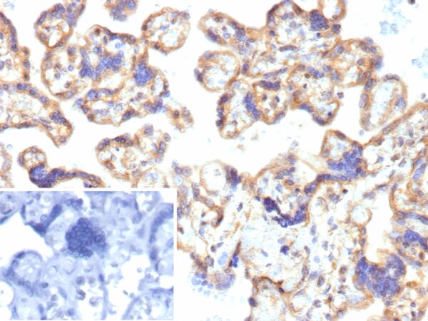
Immunohistochemistry (IHC)
1-2ug/ml
30 min at RT. Staining of formalin-fixed tissues requires heating tissue sections in 10mM Tris with 1mM EDTA, pH 9.0, for 45 min at 95°C followed by cooling at RT for 20 minutes

Summary

CD39 is a transmembrane glycoprotein and an extracellular nucleotide-hydrolyzing enzyme that plays a key role in regulating extracellular ATP and ADP levels. Also known as E-type apyrase, CD39 hydrolyzes ATP and ADP to AMP, which is further converted to adenosine. By degrading ADP, CD39 inhibits platelet aggregation, contributing to its anti-thrombotic function and potential use in preventing coronary artery occlusion and thrombotic stroke.

Intracellularly, CD39 undergoes glycosylation at six N-glycosylation sites before translocating to the membrane to become an active enzyme. Alternative splicing gives rise to three isoforms: vascular, placenta I, and placenta II, with variations at the N-terminus and C-terminus.
CD39 is expressed in vascular tissues, including the placenta, lung, skeletal muscle, and kidney, as well as on endothelial cells, smooth muscle cells, cardiac cells, and platelets. In the immune system, CD39 is present on activated B cells, a subset of activated T cells, activated NK cells, macrophages, dendritic cells, and Langerhans cells. It is not expressed on resting lymphocytes but is found in lymphoid tissues, particularly in the mantle zone and paracortical lymphocytes. CD39-expressing cells may provide protection to lymphocytes from the toxic effects of ATP released from damaged cells.

Originally identified on Epstein-Barr virus-transformed B cells, CD39 is now recognized as a key immunoregulatory enzyme involved in inflammation, immune suppression, and thrombotic balance.

Product Properties & Targets

Host
Mouse
Applications
Species Reactivity
Isotype / Light Chain
IgG2a / Kappa
Cellular Localization
Caveola, Membrane
Gene Name
Positive Control
Human tonsil, placenta, kidney or lymph node.
Immunogen
Prokaryotic recombinant protein corresponding to a portion of the external domain of the CD39 molecule
Alternate Names
Ectonucleoside triphosphate diphosphohydrolase 1, Ecto-ATP diphosphohydrolase 1, Ecto-apyrase, Lymphoid cell activation antigen, ATPDase; DKFZp686D194; DKFZp686I093; Ecto apyrase; Ecto ATP diphosphohydrolase; Ectonucleoside triphosphate diphosphohydrolase 1; ENTPD1; FLJ40921; FLJ40959; Lymphoid cell activation antigen; NTPDase 1; SPG64

Database Links

Entrez Gene ID
953
SwissProt

Additional Information

Clone
r22A9
Chromosome Location
10q24.1
Mol. Weight of Antigen
70-100 kDa
Expression System
CHO Cells

Functions

  • Catalyzes the hydrolysis of both di- and triphosphate nucleotides (NDPs and NTPs) and hydrolyze NTPs to nucleotide monophosphates (NMPs) in two distinct successive phosphate-releasing steps, with NDPs as intermediates and participates in the regulation of extracellular levels of nucleotides (Probable) (PubMed:8529670, PubMed:8626624, PubMed:8955160, PubMed:8996251). By hydrolyzing proinflammatory ATP and platelet-activating ADP to AMP, it blocks platelet aggregation and supports blood flow (PubMed:8955160, PubMed:8996251).

Key References

  • Kansas, G S et al. “Expression, distribution, and biochemistry of human CD39. Role in activation-associated homotypic adhesion of lymphocytes.” Journal of immunology (Baltimore, Md. : 1950) vol. 146,7 (1991): 2235-44.
  • Chadwick, B P, and A M Frischauf. “The CD39-like gene family: identification of three new human members (CD39L2, CD39L3, and CD39L4), their murine homologues, and a member of the gene family from Drosophila melanogaster.” Genomics vol. 50,3 (1998): 357-67. doi:10.1006/geno.1998.5317
  • Dzhandzhugazyan, K N et al. “Ecto-ATP diphosphohydrolase/CD39 is overexpressed in differentiated human melanomas.” FEBS letters vol. 430,3 (1998): 227-30. doi:10.1016/s0014-5793(98)00603-6
  • Dono, M et al. “Subepithelial B cells in the human palatine tonsil. I. Morphologic, cytochemical and phenotypic characterization.” European journal of immunology vol. 26,9 (1996): 2035-42. doi:10.1002/eji.1830260911
  • Harada, Y et al. “Identification of early plasma cells in peripheral blood and their clinical significance.” British journal of haematology vol. 92,1 (1996): 184-91. doi:10.1046/j.1365-2141.1996.300835.x

Storage & Stability

Antibody with azide - store at 2 to 8°C. Antibody without azide - store at -20 to -80°C.Antibody is stable for 24 months. Non-hazardous. No MSDS required.

Limitations

This antibody is available for research use only and is not approved for use in diagnosis.

Supplied as

200ug/ml of Ab produced in CHO cell mammalian-based expression system. Prepared in 10mM PBS with 0.05% BSA & 0.05% azide. Also available WITHOUT BSA & azide at 1.0mg/ml.

Warranty

There are no warranties, expressed or implied, which extend beyond this description. Company is not liable for any personal injury or economic loss resulting from this product.

Reviews

There are no reviews yet.

Be the first to review “Recombinant CD39 / ENTPD1 (Marker of Tumor-specific T cells) Antibody”

Your email address will not be published. Required fields are marked *

PARTNERSHIP OPPORTUNITIES

NeoBiotechnologies holds Exclusive rights to 10,000 recombinant and hybridoma antibody products, available for Licensing or Collaboration.

LETS TALK