
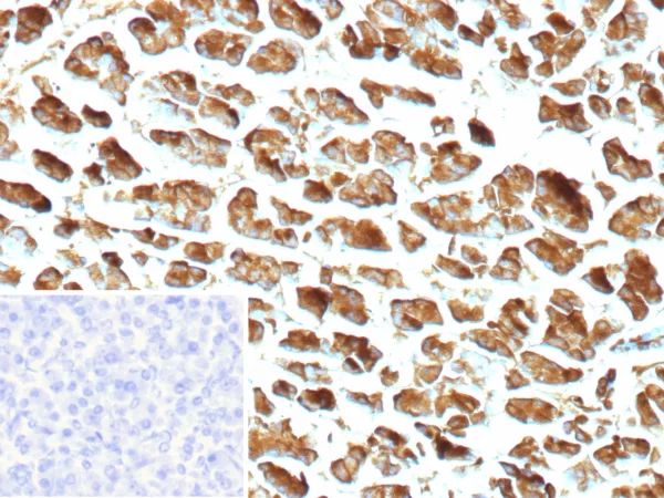
Formalin-fixed, paraffin-embedded human pancreas stained with CPA1 Recombinant Rabbit Monoclonal Antibody (CPA1/9622R). Inset: PBS instead of primary antibody; secondary only negative control.

SDS-PAGE Analysis of Purified CPA1 Recombinant Rabbit Monoclonal Antibody (CPA1/9622R). Confirmation of Purity and Integrity of Antibody.
Human pancreatic procarboxypeptidase A exists as three different active forms, two of which are designated carboxypeptidase A1 (CPA1) and carboxypeptidase A2 (CPA2). CPA1, also known as CPA, is a 419 amino acid secreted monomeric protein that is highly expressed in pancreatic tissue. Functioning as a pancreatic exopeptidase, CPA1 uses zinc as a cofactor to catalyze the release of C-terminal amino acids from a variety of proteins, thereby playing a key role in protein digestion and degradation. Via its catalytic activity, CPA1 is also thought to be involved in zymogen (proenzyme) inhibition, probably functioning to block enzyme activation pathways. Abnormal levels of CPA1 are associated with pancreatic cancer, suggesting a possible role in either tumor progression or tumor suppression events.
There are no reviews yet.