
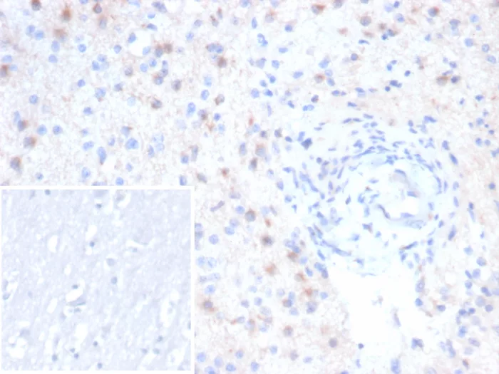
Formalin-fixed, paraffin-embedded human brain stained with RCAS1 Recombinant Mouse Monoclonal Antibody (rEBAG9/7264). Inset: PBS instead of primary antibody; secondary only negative control.
EBAG9, also known as RCAS1, is an estrogen-transcribed protein. Soluble and membranous RCAS1 proteins may play a role in the immune escape of tumor cells by promoting T lymphocyte inhibition of growth and apoptosis. RCAS1 is expressed in a wide variety of cancers, including uterine, ovarian, and lung cancer cells, and acts as a ligand for a putative receptor present on peripheral lymphocytes. RCAS1 is highly expressed not only in cancer cells but also in non-tumor bile duct cells subject to immune attack. RCAS1 inhibits the in vitro growth of receptor-expressing cells and induces apoptosis, contributing to the ability of tumor cells to evade host immune surveillance. High expression of RCAS1 significantly correlates with tumor progression and with poor outcome for many cancer patients.
There are no reviews yet.