Progesterone Receptor (Marker of Progestin Dependence) Antibody [PGR/3817]

In Stock
Catalog Number Formulation Size Price
5241-MSM7-P0
Purified Ab with BSA and Azide at 200ug/ml
20ug
$259.00
5241-MSM7-P1
Purified Ab with BSA and Azide at 200ug/ml
100ug
$559.00
5241-MSM7-P1ABX
Purified Ab WITHOUT BSA and Azide at 1.0mg/ml
100ug
$559.00
Flat Rate Domestic: $95 | Orders outside the US - Contact Us for Order Information | Ships next business day

Applications & Dilutions

Applications Tested Dillution Protocol Note
Immunohistochemistry (IHC)
1-2ug/ml
30 min at RT. Staining of formalin-fixed tissues requires heating tissue sections in 10mM Tris with 1mM EDTA, pH 9.0, for 45 min at 95°C followed by cooling at RT for 20 minutes

Summary

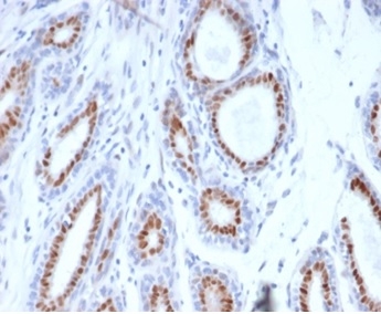
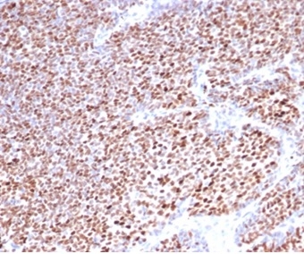
This MAb is specific to progesterone receptor and shows minimal cross-reaction with other members of the family. Progesterone receptor is expressed as two major isoforms, PR-A (81kDa) and PR-B (116kDa). Expression of PgR has been suggested to reflect an intact estrogen regulatory machinery and therefore, predict better clinical response to endocrine therapy than ER alone. It is excellent for immunohistochemical staining of formalin/paraffin tissues.

Product Properties & Targets

Antibody Type
Host
Mouse
Applications
Species Reactivity
Isotype / Light Chain
IgG2b / Kappa
Cellular Localization
Cytoplasm, Mitochondrion outer membrane, Nucleus
Gene Name
PGR
Positive Control
Human breast cancers.
Immunogen
Recombinant fragment (around aa 483-571) of human PGR (exact sequence is proprietary)
Alternate Names
Progesterone receptor, Nuclear receptor subfamily 3 group C member 3, NR3C3, Nuclear receptor subfamily 3 group C member 3, PGR, PR, PRA, PRB, Progesterone receptor form A, Progesterone receptor form B

Database Links

Entrez Gene ID
SwissProt

Additional Information

Clone
PGR/3817
Chromosome Location
11q22.1
Mol. Weight of Antigen
PR-A (81kDa) and PR-B (116kDa).

Functions

  • The steroid hormones and their receptors are involved in the regulation of eukaryotic gene expression and affect cellular proliferation and differentiation in target tissues. Depending on the isoform, progesterone receptor functions as transcriptional activator or repressor.
  • Ligand-dependent transdominant repressor of steroid hormone receptor transcriptional activity including repression of its isoform B, MR and ER. Transrepressional activity may involve recruitment of corepressor NCOR2.
  • Transcriptional activator of several progesteron-dependent promoters in a variety of cell types. Involved in activation of SRC-dependent MAPK signaling on hormone stimulation.
  • Increases mitochondrial membrane potential and cellular respiration upon stimulation by progesterone.

Key References

  • Press M, et al. Steroids. 2002 Aug; 67(9):799-813.
  • Mote P, et al. J Clin Pathol., 2001; 54: 624-630.

PubMed Links

Storage & Stability

Antibody with azide - store at 2 to 8 °C. Antibody without azide - store at -20 to -80 °C. Antibody is stable for 24 months. Non-hazardous. No MSDS required.

Limitations

This antibody is available for research use only and is not approved for use in diagnosis.

Supplied as

200ug/ml of Ab purified from Bioreactor Concentrate by Protein A/G. Prepared in 10mM PBS with 0.05% BSA & 0.05% azide. Also available WITHOUT BSA & azide at 1.0mg/ml.

Warranty

There are no warranties, expressed or implied, which extend beyond this description. Company is not liable for any personal injury or economic loss resulting from this product.

Reviews

There are no reviews yet.

Be the first to review “Progesterone Receptor (Marker of Progestin Dependence) Antibody”

Your email address will not be published. Required fields are marked *

PARTNERSHIP OPPORTUNITIES

NeoBiotechnologies holds Exclusive rights to 10,000 recombinant and hybridoma antibody products, available for Licensing or Collaboration.

LETS TALK